相关产品推荐更多 >
万千商家帮你免费找货
0 人在求购买到急需产品
- 详细信息
- 文献和实验
- 技术资料
- 免疫原:
KLH-conjugated synthetic peptide encompassing a sequence within the center region of C/EBP beta. The exact sequence is proprietary.
- 亚型:
IgG
- 形态:
Liquid
- 保存条件:
Store as concentrated solution. Centrifuge briefly prior to opening vial. For short-term storage (1-2 weeks), store at 4ºC. For long-term storage, aliquot and store at -20ºC or below. Avoid multiple freeze-thaw cycles.
- 克隆性:
Polyclonal
- 标记物:
Unconjugated
- 适应物种:
Human
- 保质期:
12 months from the shipping date of the product.
- 抗原来源:
Human
- 目录编号:
GTX55008
- 级别:
Primary Antibodies
- 库存:
Available
- 供应商:
GeneTex
- 宿主:
Rabbit
- 应用范围:
WB, ICC/IF, IHC-P
- 浓度:
Batch dependent (Please refer to the vial label for the specific concentration.)
- 靶点:
C/EBP beta (phospho Thr235)
- 抗体英文名:
C/EBP beta (phospho Thr235) antibody
- 抗体名:
C/EBP beta (phospho Thr235) 抗体
- 规格:
100 μl
WB analysis of EGF-treated HEK293T (A), EGF-treated COLO205 (B) whole cell lysates using GTX55008 C/EBP beta (phospho Thr235) antibody.
ICC/IF analysis of formalin-fixed HEK293T cells using GTX55008 C/EBP beta (phospho Thr235) antibody.
Red : Primary antibody
Blue : DAPI
Permeabilization : 0.1% Triton X-100 in TBS for 5-10 minutes
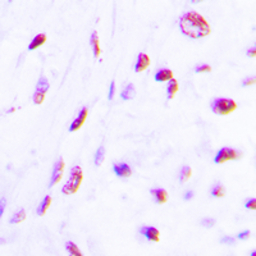
IHC-P analysis of formalin fixed human lung cancer tissue section using GTX55008 C/EBP beta (phospho Thr235) antibody.
Antigen retrieval : Heat mediated antigen retrieval with sodium citrate buffer (pH 6.0)
风险提示:丁香通仅作为第三方平台,为商家信息发布提供平台空间。用户咨询产品时请注意保护个人信息及财产安全,合理判断,谨慎选购商品,商家和用户对交易行为负责。对于医疗器械类产品,请先查证核实企业经营资质和医疗器械产品注册证情况。
文献和实验真爱满行囊 我最近在体外细胞做的关于gsk3-beta功能问题,发现药物处理以后,gsk-3-beta的总表达量下调,如果是这样的话 1、我是否能够得出gsk-3-beta的活性下调的结论? 2、是否还有必要做非活性形式的表达量?我的理解是,基础状态下,gsk-3beta维持的是低活性状态,如果总量都下调了,那应该能够得出活性降低的结论了吧? 3、另外,在这种情况下我是否有必要去做gsk-3-beta的216位点的活性形式的表达
Anticardiolipin Antibody and Anti-beta 2 Glycoprotein I Antibody Assays
) antibodies and anti-beta 2 glycoprotein I (β2-GPI) antibodies. Other autoantibodies, such as those directed against anionic phospholipids, can also be assayed; however they are not of clinical significance. Participation in a quality assurance
Using Phospho‐Motif Antibodies to Determine Kinase Substrates
comprising both the phosphorylated residue and the surrounding residues that determine kinase specificity, with degenerate residues taking up the remaining positions. Currently, several categories of phospho?motif antibody are commercially available
技术资料暂无技术资料 索取技术资料











