相关产品推荐更多 >
万千商家帮你免费找货
0 人在求购买到急需产品
- 详细信息
- 文献和实验
- 技术资料
- 免疫原:
Recombinant fusion protein containing a sequence corresponding to amino acids 1-106 of human GLRX (NP_001112362.1).
- 亚型:
IgG
- 形态:
Liquid
- 保存条件:
Store as concentrated solution. Centrifuge briefly prior to opening vial. For short-term storage (1-2 weeks), store at 4ºC. For long-term storage, aliquot and store at -20ºC or below. Avoid multiple freeze-thaw cycles.
- 克隆性:
Polyclonal
- 标记物:
Unconjugated
- 适应物种:
Human, Mouse, Rat
- 保质期:
12 months from the shipping date of the product.
- 抗原来源:
Human
- 目录编号:
GTX54140
- 级别:
Primary Antibodies
- 库存:
Available
- 供应商:
GeneTex
- 宿主:
Rabbit
- 应用范围:
WB, ICC/IF, IHC-P
- 浓度:
1 mg/ml (Please refer to the vial label for the specific concentration.)
- 靶点:
Glutaredoxin 1
- 抗体英文名:
Glutaredoxin 1 antibody
- 抗体名:
Glutaredoxin 1 抗体
- 规格:
100 μl
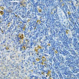
IHC-P analysis of rat spleen tissue using GTX54140 Glutaredoxin 1 antibody.
Dilution : 1:200
IHC-P analysis of mouse spleen tissue using GTX54140 Glutaredoxin 1 antibody.
Dilution : 1:200
WB analysis of various sample lysates using GTX54140 Glutaredoxin 1 antibody.
Dilution : 1:1000
Loading : 25μg per lane
ICC/IF analysis of C6 cells using GTX54140 Glutaredoxin 1 antibody.
Blue : DAPI
Dilution : 1:100
IHC-P analysis of human kidney cancer tissue using GTX54140 Glutaredoxin 1 antibody.
Dilution : 1:200
风险提示:丁香通仅作为第三方平台,为商家信息发布提供平台空间。用户咨询产品时请注意保护个人信息及财产安全,合理判断,谨慎选购商品,商家和用户对交易行为负责。对于医疗器械类产品,请先查证核实企业经营资质和医疗器械产品注册证情况。
文献和实验Subramani J et al., J Biol Chem 2016 (PMID:27587398)
Methods to Detect Protein Glutathionylation
mouse monoclonal primary antibody (ViroGen), 1:100 dilution in TBS‐T containing 0.5% (w/v) nonfat dry milk Horseradish peroxidase (HRP)‐conjugated secondary antibody against mouse IgG
Strategies to Optimize Protein Expression in E. coli
to protein fractionation. Nature 258:598‐599. Prinz, W.A., Aslund, F., Holmgren, A., and Beckwith, J. 1997. The role of the thioredoxin and glutaredoxin pathways in reducing
技术资料暂无技术资料 索取技术资料







![TCP1 alpha antibody [4E215]](https://img1.dxycdn.com/2022/0329/857/0459030542824020453-14.jpg!wh200)


