相关产品推荐更多 >
万千商家帮你免费找货
0 人在求购买到急需产品
- 详细信息
- 文献和实验
- 技术资料
- 免疫原:
Recombinant protein of human CD59
- 亚型:
IgG
- 形态:
Liquid
- 保存条件:
Store as concentrated solution. Centrifuge briefly prior to opening vial. For short-term storage (1-2 weeks), store at 4ºC. For long-term storage, aliquot and store at -20ºC or below. Avoid multiple freeze-thaw cycles.
- 克隆性:
Polyclonal
- 标记物:
Unconjugated
- 适应物种:
Human, Mouse, Rat
- 保质期:
12 months from the shipping date of the product.
- 抗原来源:
Human
- 目录编号:
GTX53909
- 级别:
Primary Antibodies
- 库存:
Available
- 供应商:
GeneTex
- 宿主:
Rabbit
- 应用范围:
WB, IHC-P
- 浓度:
Batch dependent (Please refer to the vial label for the specific concentration.)
- 靶点:
CD59
- 抗体英文名:
CD59 antibody
- 抗体名:
CD59 抗体
- 规格:
100 μl
WB analysis of various sample lysates using GTX53909 CD59 antibody. The signal was developed with ECL plus-Enhanced.
Dilution : 1:500
Loading : 25μg per lane
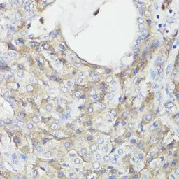
IHC-P analysis of human lung cancer tissue using GTX53909 CD59 antibody.
Dilution : 1:100
IHC-P analysis of mouse lung tissue using GTX53909 CD59 antibody.
IHC-P analysis of rat heart tissue using GTX53909 CD59 antibody.
Dilution : 1:100
风险提示:丁香通仅作为第三方平台,为商家信息发布提供平台空间。用户咨询产品时请注意保护个人信息及财产安全,合理判断,谨慎选购商品,商家和用户对交易行为负责。对于医疗器械类产品,请先查证核实企业经营资质和医疗器械产品注册证情况。
文献和实验网络 九、CD59 CD59是近年(1989)才发现的一种分子量只有18~20kDa的膜性调节蛋白。由Sugita等(1988年)首先描述,曾有不同的名称,如同种限制因子20(homologous restriction factor-20),保护素(protectin)及膜反应性溶破抑制物(membrane inhibitor of reactive
CD59 分子 CD59 常用单克隆抗体或代号: MEM- 43,YTH53.1;(TAP,Protectin) 主要表达细胞: 广泛 [NL] 分子质量(kDa)和结构: gp18- 20(GPI连接) 功 能: 与CD2结合,结合C8、C9,抑制MAC CD59 Aka protectin Regulates complement mediated cell lysis
Detection of CD59 Using Flow Cytometry
CD59 is the single regulator of the terminal complement pathway. It has been implicated in disease such as Paroxysmal nocturnal hemoglobinuria (PMH) and cancer. Expression of CD59 protects normal and malignant cells from the cytotoxic
技术资料暂无技术资料 索取技术资料







![MMP7 antibody [4C21]](https://img1.dxycdn.com/2022/0328/255/2250825775669400453-14.jpg!wh200)


