相关产品推荐更多 >
万千商家帮你免费找货
0 人在求购买到急需产品
- 详细信息
- 文献和实验
- 技术资料
- 免疫原:
Isolated mouse neutrophils cells
- 亚型:
IgG2a
- 形态:
Liquid
- 保存条件:
Store as concentrated solution. Centrifuge briefly prior to opening vial. For short-term storage (1-2 weeks), store at 4ºC. For long-term storage, aliquot and store at -20ºC or below. Avoid multiple freeze-thaw cycles.
- 克隆性:
Monoclonal
- 标记物:
Unconjugated
- 适应物种:
Mouse
- 保质期:
12 months from the shipping date of the product.
- 抗原来源:
Mouse
- 目录编号:
GTX53119
- 级别:
Primary Antibodies
- 库存:
Available
- 供应商:
GeneTex
- 宿主:
Rat
- 应用范围:
WB, IHC-P
- 浓度:
500 μg/ml (Please refer to the vial label for the specific concentration.)
- 靶点:
Neutrophils
- 抗体英文名:
Neutrophils antibody [3G23]
- 抗体名:
Neutrophils 抗体 [3G23]
- 规格:
100 μg
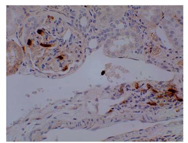
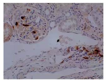
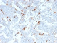
IHC-P analysis of Bouin's solution fixed mouse kidney section from anti-GBM-model using GTX53119 Neutrophils antibody [3G23].
风险提示:丁香通仅作为第三方平台,为商家信息发布提供平台空间。用户咨询产品时请注意保护个人信息及财产安全,合理判断,谨慎选购商品,商家和用户对交易行为负责。对于医疗器械类产品,请先查证核实企业经营资质和医疗器械产品注册证情况。
文献和实验ANTIBODY BINDING TO PROTEIN A AND PROTEIN G
Protein A, derived from the cell wall of Staphylococcus aureus , and protein G, derived from the cell wall of certain strains of b -hemolytic Streptococcci , binds the Fc region
Antibody Purification: Affinity Chromatography Protein A and Protein G Sepharose
G coupled to agarose. In the Subheading 3 there are also protocols for affinity purification using a specific ligand coupled to commercial matrices like CNBr- Sepharose 4-B and Affigel.
The Role of Neutrophils in the Immune System: An Overview
This valuable and unique book contains a compendium of methods and reviews that does much more than allow one to study the biology of neutrophils. What makes this collection of contributions so special is that it highlights and facilitates
技术资料暂无技术资料 索取技术资料





![PDE1B antibody [10B10B12]](https://img1.dxycdn.com/2022/0328/910/2359468964413500453-14.jpg!wh200)





