相关产品推荐更多 >
万千商家帮你免费找货
0 人在求购买到急需产品
- 详细信息
- 文献和实验
- 技术资料
- 免疫原:
Peptide sequence around aa.301~305 (P-P-S-P-P) derived from human HSF1.
- 亚型:
IgG
- 形态:
Liquid
- 保存条件:
Store as concentrated solution. Centrifuge briefly prior to opening vial. For short-term storage (1-2 weeks), store at 4ºC. For long-term storage, aliquot and store at -20ºC or below. Avoid multiple freeze-thaw cycles.
- 克隆性:
Polyclonal
- 标记物:
Unconjugated
- 适应物种:
Human
- 保质期:
12 months from the shipping date of the product.
- 抗原来源:
Human
- 目录编号:
GTX50576
- 级别:
Primary Antibodies
- 库存:
Available
- 供应商:
GeneTex
- 宿主:
Rabbit
- 应用范围:
WB, IHC-P
- 浓度:
1 mg/ml (Please refer to the vial label for the specific concentration.)
- 靶点:
HSF1
- 抗体英文名:
HSF1 antibody
- 抗体名:
HSF1 抗体
- 规格:
100 μl
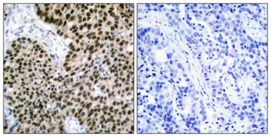
IHC-P analysis of human breast carcinoma tissue using GTX50576 HSF1 antibody.
Left : Primary antibody
Right : Primary antibody pre-incubated with the antigen specific peptide
WB analysis of extracts from MCF-7 cells using GTX50576 HSF1 antibody with or without blocking peptide.
风险提示:丁香通仅作为第三方平台,为商家信息发布提供平台空间。用户咨询产品时请注意保护个人信息及财产安全,合理判断,谨慎选购商品,商家和用户对交易行为负责。对于医疗器械类产品,请先查证核实企业经营资质和医疗器械产品注册证情况。
文献和实验Zhu M et al., Exp Hematol 2020 (PMID:31899217)
Targeted Deletion of Hsf1, 2, and 4 Genes in Mice
Heat-shock transcription factors (Hsfs) regulate transcription of heat-shock proteins as well as other genes whose promoters contain heat-shock elements. There are at least five Hsfs in mammalian cells, Hsf1, Hsf2, Hsf3, Hsf4, and Hsfy
Generation of Antibody Molecules Through Antibody Engineering
been overcome to a large extent using genetic-engineering techniques to produce chimeric mouse/human and completely human antibodies. Such an approach is particularly suitable because of the domain structure of the antibody molecule ( 2 ), where functional
The importance of antibody molecules was first recognized in the 1890s, when it was shown that immunity to tetanus and diphtheria was caused by antibodies against the bacterial exotoxins (1 ). Around the same time, it was shown that antisera
技术资料暂无技术资料 索取技术资料








![Nanog antibody [5A10]](https://img1.dxycdn.com/2022/0328/538/8581595129340800453-14.jpg!wh200)
![Mycobacterium tuberculosis 38 kDa antibody [BGN/1209/3875]](https://img1.dxycdn.com/2022/0329/468/0764155425854020453-14.jpg!wh200)

