相关产品推荐更多 >
万千商家帮你免费找货
0 人在求购买到急需产品
- 详细信息
- 文献和实验
- 技术资料
- 免疫原:
Peptide sequence around phosphorylation site of serine 367 (R-A-S(p)-S-R) derived from human Connexin 43.
- 亚型:
IgG
- 形态:
Liquid
- 保存条件:
Store as concentrated solution. Centrifuge briefly prior to opening vial. For short-term storage (1-2 weeks), store at 4ºC. For long-term storage, aliquot and store at -20ºC or below. Avoid multiple freeze-thaw cycles.
- 克隆性:
Polyclonal
- 标记物:
Unconjugated
- 适应物种:
Human
- 保质期:
12 months from the shipping date of the product.
- 抗原来源:
Human
- 目录编号:
GTX50286
- 级别:
Primary Antibodies
- 库存:
Available
- 供应商:
GeneTex
- 宿主:
Rabbit
- 应用范围:
WB, IHC-P
- 浓度:
1 mg/ml (Please refer to the vial label for the specific concentration.)
- 靶点:
Connexin 43 (phospho Ser368)
- 抗体英文名:
Connexin 43 (phospho Ser368) antibody
- 抗体名:
Connexin 43 (phospho Ser368) 抗体
- 规格:
100 μl
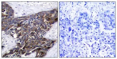
IHC-P analysis of human breast carcinoma tissue using GTX50286 Connexin 43 (phospho Ser368) antibody.
Left : Primary antibody
Right : Primary antibody pre-incubated with the antigen specific peptide
WB analysis of extracts from 293 cells untreated or treated with PMA using GTX50286 Connexin 43 (phospho Ser368) antibody.
风险提示:丁香通仅作为第三方平台,为商家信息发布提供平台空间。用户咨询产品时请注意保护个人信息及财产安全,合理判断,谨慎选购商品,商家和用户对交易行为负责。对于医疗器械类产品,请先查证核实企业经营资质和医疗器械产品注册证情况。
文献和实验Analysis of Connexin 43 Expression on Keratinocytes Using Flow Cytometry
of differentiation. Quantitative data for the differential expression of epitopes on single cells can be obtained using a flow cytometer. Simultaneous analysis of two intracellular epitopes, keratin 14 and connexin 43, using flow cytometry after keratinocyte
Lanthanide-Based Upconversion Nanoparticles for Connexin-Targeted Imaging in Co-cultures
. It was of interest to use connexin 43 gap junction protein-specific antibody on UCNs to target cardiac cell such as H9c2 and co-culture of bone marrow stem cells and H9c2.
Using Phospho‐Motif Antibodies to Determine Kinase Substrates
comprising both the phosphorylated residue and the surrounding residues that determine kinase specificity, with degenerate residues taking up the remaining positions. Currently, several categories of phospho?motif antibody are commercially available
技术资料暂无技术资料 索取技术资料






![iNOS antibody [N1N2-2], N-term](https://img1.dxycdn.com/2022/0328/939/0086390403084300453-14.jpg!wh200)


![HLA-DR + HLA-DP antibody [HL-40]](https://img1.dxycdn.com/2022/0328/400/8526771904620400453-14.jpg!wh200)

