相关产品推荐更多 >
万千商家帮你免费找货
0 人在求购买到急需产品
- 详细信息
- 文献和实验
- 技术资料
- 免疫原:
Peptide sequence around phosphorylation site of serine 80 (T-H-S(p)-I-E) derived from human SEK1 / MKK4.
- 亚型:
IgG
- 形态:
Liquid
- 保存条件:
Store as concentrated solution. Centrifuge briefly prior to opening vial. For short-term storage (1-2 weeks), store at 4ºC. For long-term storage, aliquot and store at -20ºC or below. Avoid multiple freeze-thaw cycles.
- 克隆性:
Polyclonal
- 标记物:
Unconjugated
- 适应物种:
Human
- 保质期:
12 months from the shipping date of the product.
- 抗原来源:
Human
- 目录编号:
GTX50227
- 级别:
Primary Antibodies
- 库存:
Available
- 供应商:
GeneTex
- 宿主:
Rabbit
- 应用范围:
WB, ICC/IF, IHC-P
- 浓度:
1 mg/ml (Please refer to the vial label for the specific concentration.)
- 靶点:
SEK1 / MKK4 (phospho Ser80)
- 抗体英文名:
SEK1 / MKK4 (phospho Ser80) antibody
- 抗体名:
SEK1 / MKK4 (phospho Ser80) 抗体
- 规格:
100 μl
ICC/IF analysis of methanol-fixed HeLa cells using GTX50227 SEK1 / MKK4 (phospho Ser80) antibody.
WB analysis of extracts from HepG2 cells untreated or treated with EGF using GTX50227 SEK1 / MKK4 (phospho Ser80) antibody.
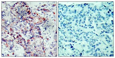
IHC-P analysis of human breast carcinoma tissue using GTX50227 SEK1 / MKK4 (phospho Ser80) antibody.
Left : Primary antibody
Right : Primary antibody pre-incubated with the antigen specific peptide
风险提示:丁香通仅作为第三方平台,为商家信息发布提供平台空间。用户咨询产品时请注意保护个人信息及财产安全,合理判断,谨慎选购商品,商家和用户对交易行为负责。对于医疗器械类产品,请先查证核实企业经营资质和医疗器械产品注册证情况。
文献和实验Using Phospho‐Motif Antibodies to Determine Kinase Substrates
comprising both the phosphorylated residue and the surrounding residues that determine kinase specificity, with degenerate residues taking up the remaining positions. Currently, several categories of phospho?motif antibody are commercially available
Purification Of Anti Peptide Antibody
the antibody can be concentrated by sweating the dialysis bags, or by spin-concentrating. Bring the azide concentration up to 0.1 and store at 4 deg C for up to three months. For longer storage freeze in aliquots and store at -80 degC or add glycerol
ChIP protocol for X. laevis Lens1/FoxE3 enhancer
to agarose beads in chromatin samples prior to antibody reaction. (17) Pellet the agarose beads by brief centrifugation (3000-5000 x g (ex. 6600 rpm at Eppendorf table top centrifuge) for 1 min)). (18) Collect supernatants into new tubes. Remove
技术资料暂无技术资料 索取技术资料











