相关产品推荐更多 >
万千商家帮你免费找货
0 人在求购买到急需产品
- 详细信息
- 文献和实验
- 技术资料
- 免疫原:
Peptide sequence around phosphorylation site of tyrosine 1068 (P-E-Y(p)-I-N) derived from human EGFR.
- 亚型:
IgG
- 形态:
Liquid
- 保存条件:
Store as concentrated solution. Centrifuge briefly prior to opening vial. For short-term storage (1-2 weeks), store at 4ºC. For long-term storage, aliquot and store at -20ºC or below. Avoid multiple freeze-thaw cycles.
- 克隆性:
Polyclonal
- 标记物:
Unconjugated
- 适应物种:
Human
- 保质期:
12 months from the shipping date of the product.
- 抗原来源:
Human
- 目录编号:
GTX50148
- 级别:
Primary Antibodies
- 库存:
Available
- 供应商:
GeneTex
- 宿主:
Rabbit
- 应用范围:
WB, IHC-P
- 浓度:
1 mg/ml (Please refer to the vial label for the specific concentration.)
- 靶点:
The full-length EGFR includes the 24 aa signal peptide that is cleaved during EGFR maturation. The Tyr1068 of mature EGFR is equivalent to Tyr1092 of uncleaved EGFR.
- 抗体英文名:
EGFR (phospho Tyr1068) antibody
- 抗体名:
EGFR (phospho Tyr1068) 抗体
- 规格:
100 μl
WB analysis of extracts from A431 cells untreated or treated with EGF using GTX50148 EGFR (phospho Tyr1068) antibody.
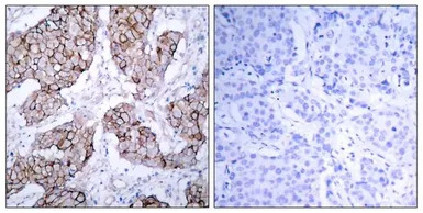
IHC-P analysis of human breast carcinoma tissue using GTX50148 EGFR (phospho Tyr1068) antibody.
Left : Primary antibody
Right : Primary antibody pre-incubated with the antigen specific peptide
风险提示:丁香通仅作为第三方平台,为商家信息发布提供平台空间。用户咨询产品时请注意保护个人信息及财产安全,合理判断,谨慎选购商品,商家和用户对交易行为负责。对于医疗器械类产品,请先查证核实企业经营资质和医疗器械产品注册证情况。
文献和实验【求助】干扰一个基因表达后,EGFR的表达及tyr1173磷酸化都降低,如何分析
zxlbaby 干扰一个基因表达后,EGFR的表达及tyr1173磷酸化都降低,如何分析?能说此基因具有调节EGFR的表达和磷酸化作用吗?还是磷酸化减少是因为表达减少?郁闷中。求助。 amygdala 用WB检测以后最好用条带扫描软件做一个量化统计分析,看看总EGFR和Tyr1173降低的比例是否一致,这样就可以知道是哪种情况了。 lilili1979 同意楼上的,可以考虑用磷酸化的/总蛋白
Using Phospho‐Motif Antibodies to Determine Kinase Substrates
comprising both the phosphorylated residue and the surrounding residues that determine kinase specificity, with degenerate residues taking up the remaining positions. Currently, several categories of phospho?motif antibody are commercially available
Optimized Protocol to Make Phospho-Specific Antibodies that Work
, not simply its level of expression. In this review, we will discuss both the design of the phosphopeptide immunogen and immunization. The affinity purification of the phospho-specific antibody as well as the methods most suitable for characterizing
技术资料暂无技术资料 索取技术资料





![Clostridium tetani Tetanus toxin antibody [TH-11]](https://img1.dxycdn.com/2022/0328/334/4649782110457700453-14.jpg!wh200)



![POLR2C antibody [N1C3-2]](https://img1.dxycdn.com/2022/0328/169/0870688705672300453-14.jpg!wh200)

