相关产品推荐更多 >
万千商家帮你免费找货
0 人在求购买到急需产品
- 详细信息
- 文献和实验
- 技术资料
- 免疫原:
Synthetic peptide corresponding to N-terminal amino acids 13-27 of rat Particulate Adenylyl Cyclase 6 protein. Peptide was covalently modified and conjugated to KLH. Sequence:DERKTAWGERNGQKR
- 亚型:
IgG
- 形态:
Liquid
- 保存条件:
Store as concentrated solution. Centrifuge briefly prior to opening vial. For short-term storage (1-2 weeks), store at 4ºC. For long-term storage, aliquot and store at -20ºC or below. Avoid multiple freeze-thaw cycles.
- 克隆性:
Polyclonal
- 标记物:
Unconjugated
- 适应物种:
Human, Mouse, Rat
- 保质期:
12 months from the shipping date of the product.
- 抗原来源:
Rat
- 目录编号:
GTX47798
- 级别:
Primary Antibodies
- 库存:
Available
- 供应商:
GeneTex
- 宿主:
Rabbit
- 应用范围:
WB, ICC/IF, IHC-P, IP, ELISA
- 浓度:
0.59 mg/ml (Please refer to the vial label for the specific concentration.)
- 靶点:
Adenylate cyclase 6
- 抗体英文名:
Adenylate cyclase 6 antibody
- 抗体名:
Adenylate cyclase 6 抗体
- 规格:
100 μg
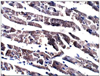
IHC-P analysis of rat heart tissue using GTX47798 Adenylate cyclase 6 antibody.
Dilution : 1:100
WB analysis of ADCY6 recombinant protein using GTX47798 Adenylate cyclase 6 antibody.
Dilution : 1:500
IHC-P analysis of rat heart tissue using GTX47798 Adenylate cyclase 6 antibody.
Dilution : 1:100
风险提示:丁香通仅作为第三方平台,为商家信息发布提供平台空间。用户咨询产品时请注意保护个人信息及财产安全,合理判断,谨慎选购商品,商家和用户对交易行为负责。对于医疗器械类产品,请先查证核实企业经营资质和医疗器械产品注册证情况。
文献和实验Yanda MK et al., Am J Physiol Renal Physiol 2017 (PMID:28747357)
Yanda MK et al., Cell Signal 2018 (PMID:30296477)
Yanda M et al., J Biol Chem 2018 (PMID:29875161)
Yanda MK et al., J Biol Chem 2017 (PMID:28887310)
Recombinant Expression and Functional Testing of Candidate Adenylate Cyclase Domains
and recombinant expression of functional candidate AC domains using, as an example, the A. thaliana pentatricopeptide repeat-containing protein (AtPPR-AC; At1g62590). Through a complementation test, in vivo adenylate cyclase activity of candidate recombinant
腺苷酸环化酶是膜整合蛋白,它的氨基端和羧基端都朝向细胞质。AC在膜的细胞质面有两个催化结构域,还有两个膜整合区,每个膜整合区分别有6个跨膜的α螺旋。哺乳动物中已发现6个腺苷酸环化酶异构体。由于AC能够将ATP转变成cAMP,引起细胞的信号应答,故此,AC是G蛋白偶联系统中的效应物。
相关专题 细胞凋亡专题 Vasoactive intestinal peptide (VIP) and the structurally related pituitary adenylate cyclase-activating polypeptide (PACAP), two neuropeptides present in the lymphoid microenvironment, elicit
技术资料暂无技术资料 索取技术资料









![ADC antibody [N2C2], Internal](https://img1.dxycdn.com/2022/0328/846/4770171799073300453-14.jpg!wh200)
