相关产品推荐更多 >
万千商家帮你免费找货
0 人在求购买到急需产品
- 详细信息
- 文献和实验
- 技术资料
- 免疫原:
Purified murine sialoadhesin.
- 亚型:
IgG2a
- 形态:
Liquid
- 保存条件:
Store as concentrated solution. Centrifuge briefly prior to opening vial. For short-term storage (1-2 weeks), store at 4ºC. For long-term storage, aliquot and store at -20ºC or below. Avoid multiple freeze-thaw cycles.
- 克隆性:
Monoclonal
- 标记物:
Unconjugated
- 适应物种:
Mouse
- 保质期:
12 months from the shipping date of the product.
- 抗原来源:
Mouse
- 目录编号:
GTX42363
- 级别:
Primary Antibodies
- 库存:
Available
- 供应商:
GeneTex
- 宿主:
Rat
- 应用范围:
ICC/IF, IHC-Fr, FACS
- 浓度:
1.0 mg/ml (Please refer to the vial label for the specific concentration.)
- 靶点:
CD169
- 抗体英文名:
CD169 antibody [3D6.112]
- 抗体名:
CD169 抗体 [3D6.112]
- 规格:
200 μg
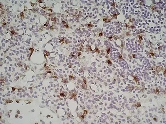
IHC-Fr analysis of mouse lymph node tissue using GTX42363 CD169 antibody [3D6.112].
IHC-Fr staining of mouse lymph node with Rat anti Mouse CD169 antibody clone 3D6.112 (GTX42363), green in A and Rat anti Mouse CD8 antibody, clone YTS105.18, red in B. C is the merged image with nuclei counterstained blue using DAPI. High power
IHC-Fr analysis of mouse lymph node tissue using GTX42363 CD169 antibody [3D6.112].
IHC-Fr staining of mouse lymph node with Rat anti Mouse CD169 antibody clone 3D6.112 (GTX42363), green in A and Rat anti Mouse CD8 antibody, clone YTS105.18, red in B. C is the merged image with nuclei counterstained blue using DAPI. Low power
IHC-Fr analysis of mouse spleen tissue using GTX42363 CD169 antibody [3D6.112].
IHC-Fr analysis of mouse lymph node tissue using GTX42363 CD169 antibody [3D6.112].
风险提示:丁香通仅作为第三方平台,为商家信息发布提供平台空间。用户咨询产品时请注意保护个人信息及财产安全,合理判断,谨慎选购商品,商家和用户对交易行为负责。对于医疗器械类产品,请先查证核实企业经营资质和医疗器械产品注册证情况。
文献和实验Purification of Immature CD4+CD8+ Thymocytes by Panning with Anti-CD8 Antibody
Most T lymphocytes of the immune system differentiate within the thymus along the CD4/CD8 developmental pathway by a highly ordered process termed thymic selection ( 1 , 2 ). The maturation status of thymocytes is commonly assessed
7211011 小鼠淋巴细胞分离液 达优 100339 Ultra-LEAF™ Purified anti-mouse CD3ε Antibody BioLegend 102115 Ultra-LEAF™ Purified anti-mouse CD28 Antibody BioLegend CD3/CD28 Streptamer® 多聚体法: 货号 名称
CD3/ CD4 /CD8 T cell subset counts
Description Procedure for CD3/ CD4 /CD8 T cell subset counts using CD3-FITC / CD4-PE / CD8-PECy5 antibody Procedure 1. One 5 ml round bottom tube (Falcon) is taken per blood sample to be analyzed. The tube is labeled, which includes
技术资料暂无技术资料 索取技术资料





![HSV1 + HSV2 gB antibody [T111]](https://img1.dxycdn.com/2022/0328/604/5305919284720400453-14.jpg!wh200)


![PGP9.5 antibody [UCHL1/775]](https://img1.dxycdn.com/2022/0328/065/3615328295590700453-14.jpg!wh200)


