相关产品推荐更多 >
万千商家帮你免费找货
0 人在求购买到急需产品
- 详细信息
- 文献和实验
- 技术资料
- 免疫原:
Raw 264 cell line.
- 亚型:
IgG2b
- 形态:
Liquid
- 保存条件:
Store as concentrated solution. Centrifuge briefly prior to opening vial. For short-term storage (1-2 weeks), store at 4ºC. For long-term storage, aliquot and store at -20ºC or below. Avoid multiple freeze-thaw cycles.
- 克隆性:
Monoclonal
- 标记物:
Unconjugated
- 适应物种:
Mouse, Pig, Channel Catfish
- 保质期:
12 months from the shipping date of the product.
- 抗原来源:
Mouse
- 目录编号:
GTX42281
- 级别:
Primary Antibodies
- 库存:
Available
- 供应商:
GeneTex
- 宿主:
Rat
- 应用范围:
WB, IHC-Fr, FACS, IP, ELISA, Functional Assay
- 浓度:
1.0 mg/ml (Please refer to the vial label for the specific concentration.)
- 靶点:
Clone 2F8 is unsuitable for use with the C57BL/6 mouse strain (Daugherty et al. 2000).
- 抗体英文名:
MSR1 antibody [2F8] (Low endotoxin, azide free)
- 抗体名:
MSR1 抗体 [2F8] (Low endotoxin, azide free)
- 规格:
100 μg
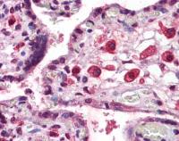
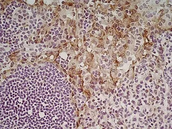
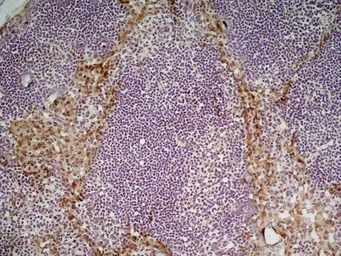
IHC-Fr analysis of mouse lymph node tissue using GTX42281 MSR1 antibody [2F8] (Low endotoxin, azide free).
FACS analysis of J774 cells using GTX42281 MSR1 antibody [2F8] (Low endotoxin, azide free).
WB analysis of J774 cell lysate (non reduced) using GTX42281 MSR1 antibody [2F8] (Low endotoxin, azide free).
IHC-Fr analysis of mouse lymph node tissue using GTX42281 MSR1 antibody [2F8] (Low endotoxin, azide free).
IHC-Fr analysis of mouse lymph node tissue using GTX42281 MSR1 antibody [2F8] (Low endotoxin, azide free).
FACS analysis of mouse peritoneal macrophages using GTX42281 MSR1 antibody [2F8] (Low endotoxin, azide free).
风险提示:丁香通仅作为第三方平台,为商家信息发布提供平台空间。用户咨询产品时请注意保护个人信息及财产安全,合理判断,谨慎选购商品,商家和用户对交易行为负责。对于医疗器械类产品,请先查证核实企业经营资质和医疗器械产品注册证情况。
文献和实验Purification of Endotoxin Free mAbs
pressure of circulation to force water out through the membrane, and rapidly concentrating the antibody/proteins up to 100 fold. The advantage of this method is very large volumes can be processed using sterile and endotoxin free components. Ammonium
Phycoerythrin conjugation protocol
and Centricon concentrators. Add 0.5% sodium azide. Store at 4 °C protected from light. Do not freeze. Figure 1. Analysis of column eluate fractions from PE conjugation of monoclonal antibody IB4 (murine IgG2a, anti-human CD
Immunocytochemistry: Common problems and some answers.
controls using other methods to demonstrate specific labeling with the antibodies being used. Change the antibody if necessary. Low amount of antigen One of the advantages of using protein A-gold to detect antibody binding
技术资料暂无技术资料 索取技术资料







![IL2 Receptor alpha antibody [1B5D12]](https://img1.dxycdn.com/2022/0328/075/2638331469443500453-14.jpg!wh200)


