相关产品推荐更多 >
万千商家帮你免费找货
0 人在求购买到急需产品
- 详细信息
- 文献和实验
- 技术资料
- 免疫原:
Rat CD4 and mouse CD134 ligand Chimaeric protein.
- 亚型:
IgG1
- 形态:
Liquid
- 保存条件:
Store as concentrated solution. Centrifuge briefly prior to opening vial. For short-term storage (1-2 weeks), store at 4ºC. For long-term storage, aliquot and store at -20ºC or below. Avoid multiple freeze-thaw cycles.
- 克隆性:
Monoclonal
- 标记物:
Unconjugated
- 适应物种:
Mouse
- 保质期:
12 months from the shipping date of the product.
- 抗原来源:
Mouse
- 目录编号:
GTX42201
- 级别:
Primary Antibodies
- 库存:
Available
- 供应商:
GeneTex
- 宿主:
Rat
- 应用范围:
IHC-Fr, FACS
- 浓度:
1.0 mg/ml (Please refer to the vial label for the specific concentration.)
- 靶点:
CD252
- 抗体英文名:
CD252 antibody [OX-89]
- 抗体名:
CD252 抗体 [OX-89]
- 规格:
250 μg
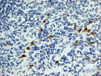
IHC-Fr analysis of mouse lymph node tissue using GTX42201 CD252 antibody [OX-89].
IHC-Fr analysis of mouse lymph node tissue using GTX42201 CD252 antibody [OX-89].
风险提示:丁香通仅作为第三方平台,为商家信息发布提供平台空间。用户咨询产品时请注意保护个人信息及财产安全,合理判断,谨慎选购商品,商家和用户对交易行为负责。对于医疗器械类产品,请先查证核实企业经营资质和医疗器械产品注册证情况。
文献和实验人OX40 Ligand(OX40L)ELISA试剂盒 说明书
上海西唐生物科技有限公司 021-55229872, 65333639 www.westang.com 人OX40 Ligand ( OX40L )ELISA 试剂盒 ( 用于血清、血浆、细胞培养上清液和其它生物体液内 ) 原理 本实验采用双抗体夹心 ABC-ELISA 法。用抗人 OX40L/TNFSF4 单抗包被于酶标板上,标准品和样品中的 OX40L与单抗结合,加入
secondary antibody review -- data from 99 publications
cytometry used as a control to detect cell responses targeted antigen 7 Alexa Fluor 488 7 Cy3 8 goat IgG Alexa Fluor 488 1:2000 detect antibody binding in human embryonic kidney 293T cells Invitrogen 9 donkey
Morphology and Molecular Properties of Cellular Components of Normal Cerebral Vessels
in choroid plexus epithelial cells indicating colocalization of Ang-1 and Ang-2 (yellow). ( D ) Cultured cells derived from cerebral microvessels show adherance of antibody-coated ox red blood cells forming rosettes indicating presence of Fc
技术资料暂无技术资料 索取技术资料











