相关产品推荐更多 >
万千商家帮你免费找货
0 人在求购买到急需产品
- 详细信息
- 文献和实验
- 技术资料
- 免疫原:
Fusion protein amino acids 1507-1733 (intracellular carboxyl terminus) of rabbit Cav1.2, accession number P15381.
- 亚型:
IgG1
- 形态:
Liquid
- 保存条件:
Store as concentrated solution. Centrifuge briefly prior to opening vial. For short-term storage (1-2 weeks), store at 4ºC. For long-term storage, aliquot and store at -20ºC or below. Avoid multiple freeze-thaw cycles.
- 克隆性:
Monoclonal
- 标记物:
Unconjugated
- 适应物种:
Human, Mouse, Rat
- 保质期:
12 months from the shipping date of the product.
- 抗原来源:
Rabbit
- 目录编号:
GTX41981
- 级别:
Primary Antibodies
- 库存:
Available
- 供应商:
GeneTex
- 宿主:
Mouse
- 应用范围:
WB, IP, IHC
- 浓度:
1 mg/ml (Please refer to the vial label for the specific concentration.)
- 靶点:
Cav1.2
- 抗体英文名:
Cav1.2 antibody [S57-46]
- 抗体名:
Cav1.2 抗体 [S57-46]
- 规格:
100 μg
Western blot analysis of Cav1.2 in T-Cho cells, using a 1:1000 dilution of GTX41981.
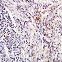
IHC analysis of Cav1.2 in human hippocampus tissues.
IHC analysis of Cav1.2 in mouse brain tissue.
风险提示:丁香通仅作为第三方平台,为商家信息发布提供平台空间。用户咨询产品时请注意保护个人信息及财产安全,合理判断,谨慎选购商品,商家和用户对交易行为负责。对于医疗器械类产品,请先查证核实企业经营资质和医疗器械产品注册证情况。
文献和实验pH 0.2mol/L Na2CO3(ml) 0.2mol/L NaHCO3(ml) 9.2
to 1 liter with Qcheck to make sure pH is 3.0(2) Affigel Blue Running Buffer10 mM K2HPO4 2.28 g K2HPO40.15 M NaCl 8.2 g NaCl0.02% azide 0.2 g Na azideup to 1 liter with Q(3) 1.4 M NaCl8.1 g NaClup to 100 ml with Q(4) Saturated NH4SO4767 g NH4SO4add 1 liter Q
mls of PBS. Put 200 ul (3 mg/ml) of the antibody to an eppendorf tube. Add 0.8 mls of PBS. Pellet 1 ml of the cell suspension and discard the PBS supernatant. Add the antibody solution to the cell pellet, gently resuspend the cells
技术资料暂无技术资料 索取技术资料





![IL2 Receptor alpha antibody [MRC OX-39] (PE)](https://img1.dxycdn.com/2022/0329/275/9974217740536020453-14.gif!wh200)




