相关产品推荐更多 >
万千商家帮你免费找货
0 人在求购买到急需产品
- 详细信息
- 文献和实验
- 技术资料
- 亚型:
IgG2b
- 形态:
Liquid
- 保存条件:
Store as concentrated solution. Centrifuge briefly prior to opening vial. For short-term storage (1-2 weeks), store at 4ºC. For long-term storage, aliquot and store at -20ºC or below. Avoid multiple freeze-thaw cycles.
- 克隆性:
Monoclonal
- 标记物:
Unconjugated
- 适应物种:
Mouse
- 保质期:
12 months from the shipping date of the product.
- 抗原来源:
Mouse
- 目录编号:
GTX41816
- 级别:
Primary Antibodies
- 库存:
Available
- 供应商:
GeneTex
- 宿主:
Rat
- 应用范围:
IHC-Fr, FACS
- 浓度:
1.0 mg/ml (Please refer to the vial label for the specific concentration.)
- 靶点:
CD8
- 抗体英文名:
CD8 antibody [YTS169.4] (Azide free)
- 抗体名:
CD8 抗体 [YTS169.4] (Azide free)
- 规格:
500 μg
FACS analysis of mouse spleen cells using GTX41816 CD8 antibody [YTS169.4] (Azide free).
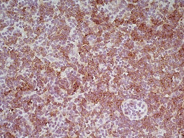
IHC-Fr analysis of mouse lymph node tissue using GTX41816 CD8 antibody [YTS169.4] (Azide free).
IHC-Fr analysis of mouse lymph node tissue using GTX41816 CD8 antibody [YTS169.4] (Azide free).
IHC-Fr analysis of mouse lymph node tissue using GTX41816 CD8 antibody [YTS169.4] (Azide free).
风险提示:丁香通仅作为第三方平台,为商家信息发布提供平台空间。用户咨询产品时请注意保护个人信息及财产安全,合理判断,谨慎选购商品,商家和用户对交易行为负责。对于医疗器械类产品,请先查证核实企业经营资质和医疗器械产品注册证情况。
文献和实验Purification of Endotoxin Free mAbs
pressure of circulation to force water out through the membrane, and rapidly concentrating the antibody/proteins up to 100 fold. The advantage of this method is very large volumes can be processed using sterile and endotoxin free components. Ammonium
Monoclonal Antibody Production Protocol
- PBS + 0.1% Tween 20 or TBS + 0.1% Tween 20. - Blocking solution = 2% BSA (type V ) in PBS. (Add 0.02% azide for longer storage.) - Elisa buffer = 2% BSA + 0.1% Tween 20 in PBS ( azide optional ). - Enzyme linked antibody = Horseradish peroxidase
Isolation of Untouched Human CD8+ T Cells from Peripheral Blood Mononuclear Cells (PBMC)
实验原理 A mixture of biotinylated monoclonal antibodies against the non-CD8 T cells is added to the starting sample and allowed to bind to the cells. Depletion MyOne™ SA Dynabeads® are added and will bind to the antibody
技术资料暂无技术资料 索取技术资料










