相关产品推荐更多 >
万千商家帮你免费找货
0 人在求购买到急需产品
- 详细信息
- 文献和实验
- 技术资料
- 免疫原:
Dectin-1 transfected NIH3T3 cells and recombinant soluble Dectin-1.
- 亚型:
IgG2b
- 形态:
Liquid
- 保存条件:
Store as concentrated solution. Centrifuge briefly prior to opening vial. Store at 4ºC. DO NOT FREEZE.
- 克隆性:
Monoclonal
- 标记物:
Unconjugated
- 适应物种:
Mouse
- 保质期:
12 months from the shipping date of the product.
- 抗原来源:
Mouse
- 目录编号:
GTX41467
- 级别:
Primary Antibodies
- 库存:
Available
- 供应商:
GeneTex
- 宿主:
Rat
- 应用范围:
WB, ICC/IF, IHC-Fr, FACS, IP, Neutralizing/Inhibition
- 浓度:
1.0 mg/ml (Please refer to the vial label for the specific concentration.)
- 靶点:
Dectin-1
- 抗体英文名:
Dectin-1 antibody [2A11]
- 抗体名:
Dectin-1 抗体 [2A11]
- 规格:
100 μg
FACS analysis of mouse peripheral blood monocytes using GTX41467 Dectin-1 antibody [2A11].
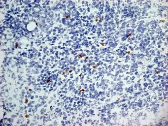
IHC-Fr analysis of mouse lymph node tissue using GTX41467 Dectin-1 antibody [2A11].
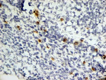
IHC-Fr analysis of mouse skin tissue using GTX41467 Dectin-1 antibody [2A11].
IHC-Fr analysis of mouse lymph node tissue using GTX41467 Dectin-1 antibody [2A11].
IHC-Fr analysis of mouse lymph node tissue using GTX41467 Dectin-1 antibody [2A11].
风险提示:丁香通仅作为第三方平台,为商家信息发布提供平台空间。用户咨询产品时请注意保护个人信息及财产安全,合理判断,谨慎选购商品,商家和用户对交易行为负责。对于医疗器械类产品,请先查证核实企业经营资质和医疗器械产品注册证情况。
文献和实验Wang HT et al., J Food Drug Anal 2018 (PMID:29567238)
Johnathan Canton et al., Nat Immunol 2021 (PMID:33349708)
Okada Y et al., J Gastroenterol 2021 (PMID:34213612)
Fujikura D et al., The Journal of Biochemistry 2017 mvx062()
Wang HT et al., Journal of Food and Drug Analysis 2017 (Epub)
Byun EB et al., Am J Chin Med 2016 (PMID:27430908)
Yang LC et al., Evid Based Complement Alternat Med 2013 (PMID:24191166)
Guo Z et al., J Immunol 2013 (PMID:23514739)
86, and major histocompatibility molecule class II in order to enhance T cell proliferation. Activated T cells also differentiate into Th1 or Th2 cells to modulate B cell function for antibody production.Recent decades have seen increased prevalence of several immunopathological
技术资料暂无技术资料 索取技术资料











