相关产品推荐更多 >
万千商家帮你免费找货
0 人在求购买到急需产品
- 详细信息
- 文献和实验
- 技术资料
- 免疫原:
Dectin-2 (extracellular domain) Fc Fusion protein.
- 亚型:
IgG2a
- 形态:
Liquid
- 保存条件:
Store as concentrated solution. Centrifuge briefly prior to opening vial. For short-term storage (1-2 weeks), store at 4ºC. For long-term storage, aliquot and store at -20ºC or below. Avoid multiple freeze-thaw cycles.
- 克隆性:
Monoclonal
- 标记物:
Unconjugated
- 适应物种:
Mouse
- 保质期:
12 months from the shipping date of the product.
- 抗原来源:
Mouse
- 目录编号:
GTX41453
- 级别:
Primary Antibodies
- 库存:
Available
- 供应商:
GeneTex
- 宿主:
Rat
- 应用范围:
IHC-Fr, FACS, IP
- 浓度:
1.0 mg/ml (Please refer to the vial label for the specific concentration.)
- 靶点:
Dectin-2
- 抗体英文名:
Dectin-2 antibody [D2.11E4]
- 抗体名:
Dectin-2 抗体 [D2.11E4]
- 规格:
25 μg
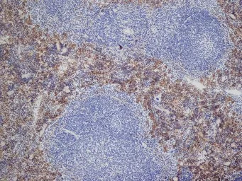
IHC analysis of mouse spleen tissue using GTX41453 Dectin-2 antibody [D2.11E4].
风险提示:丁香通仅作为第三方平台,为商家信息发布提供平台空间。用户咨询产品时请注意保护个人信息及财产安全,合理判断,谨慎选购商品,商家和用户对交易行为负责。对于医疗器械类产品,请先查证核实企业经营资质和医疗器械产品注册证情况。
文献和实验Borriello F et al., Cell 2022 (PMID:35148840)
105 H73C11 Hypo-osmolar 100L3 1.25 kV/cm 1 pulse/10 �s 194–388 JB-17 1D2
Intracellular Cytokine Staining Protocol
Antibody Order Info Comments T Lymphocytes CD3 145-2C11 14-0031 pan, developmentally regulated T Subsets
ELISPOT (Enzyme-linked ImmunoSPOT)
of cytokine-producing cells at the single cell level. The method employs the sandwich assay approach of the enzyme-linked immunosorbent assay (ELISA), with some variations. The ELISPOT capture antibody is coated aseptically onto a polyvinylidene difluoride
技术资料暂无技术资料 索取技术资料











