相关产品推荐更多 >
万千商家帮你免费找货
0 人在求购买到急需产品
- 详细信息
- 文献和实验
- 技术资料
- 免疫原:
Recombinant human IL-10.
- 亚型:
IgG1
- 形态:
Liquid
- 保存条件:
Store as concentrated solution. Centrifuge briefly prior to opening vial. For short-term storage (1-2 weeks), store at 4ºC. For long-term storage, aliquot and store at -20ºC or below. Avoid multiple freeze-thaw cycles.
- 克隆性:
Monoclonal
- 标记物:
Unconjugated
- 适应物种:
Human
- 保质期:
12 months from the shipping date of the product.
- 抗原来源:
Human
- 目录编号:
GTX39969
- 级别:
Primary Antibodies
- 库存:
Available
- 供应商:
GeneTex
- 宿主:
Rat
- 应用范围:
WB, FACS, ELISA, IHC, Neutralizing/Inhibition
- 浓度:
1.0 mg/ml (Please refer to the vial label for the specific concentration.)
- 靶点:
Clone JES3-9D7 is reported to act as a neutralising antibody (Othieno et al. 1999).
- 抗体英文名:
IL10 antibody [JES3-9D7] (Low endotoxin, azide free)
- 抗体名:
IL10 抗体 [JES3-9D7] (Low endotoxin, azide free)
- 规格:
500 μg
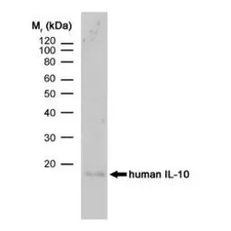
WB analysis of human IL-10 recombinant protein using GTX39969 IL10 antibody [JES3-9D7] (Low endotoxin, azide free).
风险提示:丁香通仅作为第三方平台,为商家信息发布提供平台空间。用户咨询产品时请注意保护个人信息及财产安全,合理判断,谨慎选购商品,商家和用户对交易行为负责。对于医疗器械类产品,请先查证核实企业经营资质和医疗器械产品注册证情况。
文献和实验Buommino E et al., Arch Dermatol Res 2009 (PMID:19301019)
Purification of Endotoxin Free mAbs
pressure of circulation to force water out through the membrane, and rapidly concentrating the antibody/proteins up to 100 fold. The advantage of this method is very large volumes can be processed using sterile and endotoxin free components. Ammonium
Protocol for intracytoplasmic staining of cytokines for FACS analysis
; Pharmingen 18195A) for FL2 anti-IL10 (JES5.16E3-PE; Pharmingen 18435A) for FL1 anti-TGF-beta (rabbit anti pan TGF-beta; R&D Systems AB-100-NA home made FITC conjugate) for FL2 8) Wash extensively in saponin buffer followed by PBS + 0.1% azide
Phycoerythrin conjugation protocol
and Centricon concentrators. Add 0.5% sodium azide. Store at 4 °C protected from light. Do not freeze. Figure 1. Analysis of column eluate fractions from PE conjugation of monoclonal antibody IB4 (murine IgG2a, anti-human CD
技术资料暂无技术资料 索取技术资料







![IRF4 / MUM1 antibody [EAU32]](https://img1.dxycdn.com/2022/0328/149/4811018092487700453-14.jpg!wh200)

![NF-L antibody [NR-4]](https://img1.dxycdn.com/2022/0328/108/0482825435860700453-14.jpg!wh200)

