相关产品推荐更多 >
万千商家帮你免费找货
0 人在求购买到急需产品
- 详细信息
- 文献和实验
- 技术资料
- 免疫原:
Native insulin
- 亚型:
IgG
- 形态:
Liquid
- 保存条件:
Store as concentrated solution. Centrifuge briefly prior to opening vial. For short-term storage (1-2 weeks), store at 4ºC. For long-term storage, aliquot and store at -20ºC or below. Avoid multiple freeze-thaw cycles.
- 克隆性:
Polyclonal
- 标记物:
Unconjugated
- 适应物种:
Human,Mouse,Pig
- 保质期:
12 months from the shipping date of the product.
- 抗原来源:
Pig
- 目录编号:
GTX39371
- 级别:
Primary Antibodies
- 库存:
Available
- 供应商:
GeneTex
- 宿主:
Guinea pig
- 应用范围:
IHC-P,IHC-Fr,ELISA
- 浓度:
5.0 mg/ml (Please refer to the vial label for the specific concentration.)
- 靶点:
Insulin
- 抗体英文名:
Insulin antibody
- 抗体名:
Insulin 抗体
- 规格:
50 μl
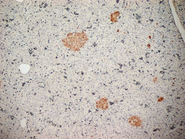
IHC analysis of human pancreas tissue using GTX39371 Insulin antibody.
IHC analysis of human pancreas tissue using GTX39371 Insulin antibody.
IHC analysis of human pancreas tissue using GTX39371 Insulin antibody.
IHC analysis of human pancreas tissue using GTX39371 Insulin antibody.
IHC analysis of human pancreas tissue using GTX39371 Insulin antibody.
IHC analysis of human pancreas tissue using GTX39371 Insulin antibody.
风险提示:丁香通仅作为第三方平台,为商家信息发布提供平台空间。用户咨询产品时请注意保护个人信息及财产安全,合理判断,谨慎选购商品,商家和用户对交易行为负责。对于医疗器械类产品,请先查证核实企业经营资质和医疗器械产品注册证情况。
文献和实验Detection of Insulin Production by Immunohistochemistry
the insulin gene (4 ). Like all immunocytochemistry techniques, much depends on the availability of a high-quality primary antibody. Species-specific insulin antibodies are now available from a number of commercial sources (including Santa Cruz
Analysis of Insulin and Insulin-Like Growth Factor-I Receptors in Neural Tissues
A variety of biochemical and physiological studies in recent years have made it clear that the brain possesses specific receptors and puta- tive signal transduction pathways for insulin and the insulin-like growth factors (IGF-I and IGF
Assaying Tyrosine Phosphorylation of Insulin Receptor and Insulin Receptor Substrates
This chapter describes techniques to successfully detect tyrosine phosphorylation of the insulin receptor and insulin receptor substrate proteins. These assays demonstrate whether the insulin signaling pathway is activated at its earliest
技术资料暂无技术资料 索取技术资料






![PIGR antibody [007]](https://img1.dxycdn.com/2022/0328/299/5096796971238700453-14.png!wh200)
![MAML3 antibody [MAML3/1303]](https://img1.dxycdn.com/2022/0328/580/1587193375680700453-14.jpg!wh200)
![CD73 antibody [1D7]](https://img1.dxycdn.com/2022/0328/318/5438624810867500453-14.jpg!wh200)


