相关产品推荐更多 >
万千商家帮你免费找货
0 人在求购买到急需产品
- 详细信息
- 文献和实验
- 技术资料
- 免疫原:
Recombinant Human PIGR protein
- 亚型:
IgG
- 形态:
Liquid
- 保存条件:
Store as concentrated solution. Centrifuge briefly prior to opening vial. For short-term storage (1-2 weeks), store at 4ºC. For long-term storage, aliquot and store at -20ºC or below. Avoid multiple freeze-thaw cycles.
- 克隆性:
Monoclonal
- 标记物:
Unconjugated
- 适应物种:
Human
- 保质期:
12 months from the shipping date of the product.
- 抗原来源:
Human
- 目录编号:
GTX02010
- 级别:
Primary Antibodies
- 库存:
Available
- 供应商:
GeneTex
- 宿主:
Rabbit
- 应用范围:
ICC/IF, IHC-P
- 浓度:
Batch dependent (Please refer to the vial label for the specific concentration.)
- 靶点:
PIGR
- 抗体英文名:
PIGR antibody [007]
- 抗体名:
PIGR 抗体 [007]
- 规格:
100 μl
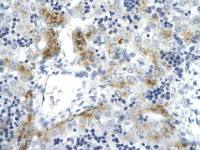
IHC-P analysis of human liver (cirrhosis) tissue section using GTX02010 PIGR antibody [007].
Dilution : 1:60
ICC/IF analysis of PFA-fixed HepG2 cells using GTX02010 PIGR antibody [007].
Green : Primary antibodyBlue : DAPI
Dilution : 1:60
风险提示:丁香通仅作为第三方平台,为商家信息发布提供平台空间。用户咨询产品时请注意保护个人信息及财产安全,合理判断,谨慎选购商品,商家和用户对交易行为负责。对于医疗器械类产品,请先查证核实企业经营资质和医疗器械产品注册证情况。
文献和实验我是用来做筛选IgG型单克隆抗体,用它做二抗,筛到的阳性克隆化和扩大培养后用SIGMA亚类试剂盒鉴定却是IgM,郁闷!!!这个试剂盒能与IGM交叉?是不是抗轻链?我这种方式不对吗?谁知道有较好的抗鼠IgG而与IgM不交叉的抗体?? 试剂盒说明书:Anti-mouse IgG-HRP Antibody FOR RESEARCH USE ONLY. NOT FOR USE IN HUMANS. R&D Systems, Inc. 1-800-343-7475 2/21/06
they were raised against and to determine the sensitivity of the antibody for its antigen. Protein samples are prepared with SDS and run non-reduced and reduced on an appropriate SDS-PAGE gel. The proteins are transferred to a PVDF membrane using a semi-dry
免疫组化技术-Immunohistochemical Protocols
does not mean that there are no other alternatives, of course. The list does not represent an endorsement in any way by the U.S. Government. The principle of immunohistochemistry is to raise an antibody to a specific antigen and use
技术资料暂无技术资料 索取技术资料





![PDGF Receptor alpha antibody [7A3]](https://img1.dxycdn.com/2022/0328/885/7774354172319600453-14.jpg!wh200)





