相关产品推荐更多 >
万千商家帮你免费找货
0 人在求购买到急需产品
- 详细信息
- 文献和实验
- 技术资料
- 免疫原:
KLH conjugated synthetic peptide derived from human EPOR.
- 亚型:
IgG
- 形态:
Liquid
- 保存条件:
Store as concentrated solution. Centrifuge briefly prior to opening vial. For short-term storage (1-2 weeks), store at 4ºC. For long-term storage, aliquot and store at -20ºC or below. Avoid multiple freeze-thaw cycles.
- 克隆性:
Polyclonal
- 标记物:
Unconjugated
- 适应物种:
Human, Rat
- 保质期:
12 months from the shipping date of the product.
- 抗原来源:
Human
- 目录编号:
GTX37704
- 级别:
Primary Antibodies
- 库存:
Available
- 供应商:
GeneTex
- 宿主:
Rabbit
- 应用范围:
WB, IHC-P, IHC-Fr
- 浓度:
0.5 mg/ml (Please refer to the vial label for the specific concentration.)
- 靶点:
EPO receptor
- 抗体英文名:
EPO receptor antibody
- 抗体名:
EPO receptor 抗体
- 规格:
100 μg
IHC-Fr analysis of human lung cancer tissue using GTX37704 EPO receptor antibody.
Dilution : 2.5μg/ml
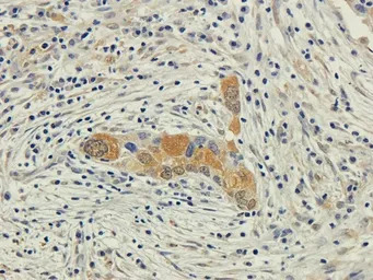
IHC-P analysis of human lung cancer tissue using GTX37704 EPO receptor antibody.
Dilution : 2.5μg/ml
IHC-P analysis of human lung cancer tissue using GTX37704 EPO receptor antibody.
Dilution : 2.5μg/ml
WB analysis of rat thyroid (Lane 1), human thyroid cancer (Lane 2), human breast cancer (Lane 3), human lung cancer (Lane 4), U251 cell (Lane 5) lysates using GTX37704 EPO receptor antibody.
Dilution : 1μg/ml
风险提示:丁香通仅作为第三方平台,为商家信息发布提供平台空间。用户咨询产品时请注意保护个人信息及财产安全,合理判断,谨慎选购商品,商家和用户对交易行为负责。对于医疗器械类产品,请先查证核实企业经营资质和医疗器械产品注册证情况。
文献和实验Arellano-Buend?a AS et al., Antioxidants (Basel) 2020 (PMID:33203103)
Rey F et al., Antioxidants (Basel) 2021 (PMID:33467745)
技术资料暂无技术资料 索取技术资料





![C/EBP beta antibody [3H9]](https://img1.dxycdn.com/2022/0328/565/9095949203303500453-14.jpg!wh200)



![Coronin 1A antibody [N1N3]](https://img1.dxycdn.com/2022/0328/658/0526997311499200453-14.jpg!wh200)
