相关产品推荐更多 >
万千商家帮你免费找货
0 人在求购买到急需产品
- 详细信息
- 文献和实验
- 技术资料
- 免疫原:
KLH conjugated synthetic peptide derived between 461-540 amino acids of human SCN9A
- 亚型:
IgG
- 形态:
Liquid
- 保存条件:
Store as concentrated solution. Centrifuge briefly prior to opening vial. For short-term storage (1-2 weeks), store at 4ºC. For long-term storage, aliquot and store at -20ºC or below. Avoid multiple freeze-thaw cycles.
- 克隆性:
Polyclonal
- 标记物:
Unconjugated
- 适应物种:
Rat
- 保质期:
12 months from the shipping date of the product.
- 抗原来源:
Human
- 目录编号:
GTX37345
- 级别:
Primary Antibodies
- 库存:
Available
- 供应商:
GeneTex
- 宿主:
Rabbit
- 应用范围:
IHC-P
- 浓度:
0.5 mg/ml (Please refer to the vial label for the specific concentration.)
- 靶点:
Nav1.7
- 抗体英文名:
Nav1.7 antibody
- 抗体名:
Nav1.7 抗体
- 规格:
100 μg
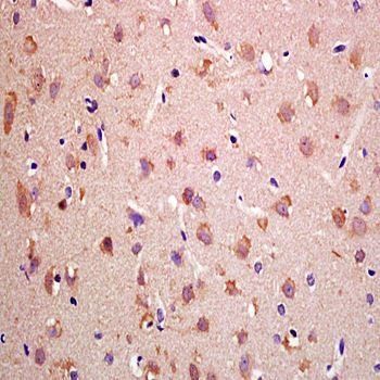
IHC-P analysis of rat brain tissue using GTX37345 Nav1.7 antibody.
风险提示:丁香通仅作为第三方平台,为商家信息发布提供平台空间。用户咨询产品时请注意保护个人信息及财产安全,合理判断,谨慎选购商品,商家和用户对交易行为负责。对于医疗器械类产品,请先查证核实企业经营资质和医疗器械产品注册证情况。
文献和实验Cell 子刊:颜宁与西湖大学申怀宗团队合作解析 Nav1.7 高分辨率结构,有望助力止痛药研发
,Nav1.7,由 SCN9A 编码,主要在背根神经节神经元中表达,是一种很有希望的止痛药物靶点,在认知信号传导中发挥重要作用。Nav1.7 调节感觉神经元的兴奋性,并有助于几种感官模式的认知。SCN9A 的突变与原发性红热痛、与通道病相关的疼痛不敏感和阵发性极度疼痛障碍有关。 研究人员之前报道过人类 Nav1.7 的结构,在之前的研究中,一种疾病变体 Nav1.7(E406K)由于其增强了重组表达水平而被选择使用。将毒素混合后用于结构解析,最终获得了分辨率均为 3.2 Å 的低温 EM 结构
Generation of Antibody Molecules Through Antibody Engineering
been overcome to a large extent using genetic-engineering techniques to produce chimeric mouse/human and completely human antibodies. Such an approach is particularly suitable because of the domain structure of the antibody molecule ( 2 ), where functional
The importance of antibody molecules was first recognized in the 1890s, when it was shown that immunity to tetanus and diphtheria was caused by antibodies against the bacterial exotoxins (1 ). Around the same time, it was shown that antisera
技术资料暂无技术资料 索取技术资料











