相关产品推荐更多 >
万千商家帮你免费找货
0 人在求购买到急需产品
- 详细信息
- 询价记录
- 文献和实验
- 技术资料
- 免疫原:
Recombinant fusion protein containing a sequence corresponding to amino acids 17-163 of human Chemerin (NP_002880.1).
- 亚型:
IgG
- 形态:
Liquid
- 保存条件:
Store as concentrated solution. Centrifuge briefly prior to opening vial. For short-term storage (1-2 weeks), store at 4ºC. For long-term storage, aliquot and store at -20ºC or below. Avoid multiple freeze-thaw cycles.
- 克隆性:
Polyclonal
- 标记物:
Unconjugated
- 适应物种:
Human, Mouse, Rat
- 保质期:
12 months from the shipping date of the product.
- 抗原来源:
Human
- 目录编号:
GTX32518
- 级别:
Primary Antibodies
- 库存:
Available
- 供应商:
GeneTex
- 宿主:
Rabbit
- 应用范围:
WB, ICC/IF, IHC-P
- 浓度:
Batch dependent (Please refer to the vial label for the specific concentration.)
- 靶点:
Chemerin
- 抗体英文名:
Chemerin antibody
- 抗体名:
Chemerin 抗体
- 规格:
100 μl
ICC/IF analysis of MCF7 cells using GTX32518 Chemerin antibody.
Blue : DAPI
WB analysis of various sample lysates using GTX32518 Chemerin antibody. The signal was developed with ECL plus-Enhanced.
Dilution : 1:1000
Loading : 25μg per lane
IHC-P analysis of rat kidney tissue using GTX32518 Chemerin antibody.
Dilution : 1:50
IHC-P analysis of human liver tissue using GTX32518 Chemerin antibody.
Dilution : 1:50
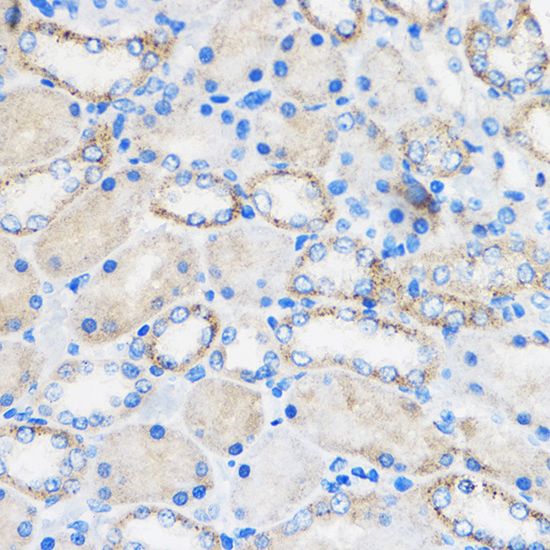
IHC-P analysis of mouse kidney tissue using GTX32518 Chemerin antibody.
Dilution : 1:50
风险提示:丁香通仅作为第三方平台,为商家信息发布提供平台空间。用户咨询产品时请注意保护个人信息及财产安全,合理判断,谨慎选购商品,商家和用户对交易行为负责。对于医疗器械类产品,请先查证核实企业经营资质和医疗器械产品注册证情况。
- 作者
- 内容
- 询问日期
文献和实验人Chemerin(Chemerin)ELISA试剂盒 说明书
人Chemerin (Chemerin)ELISA 试剂盒 ( 用于血清、血浆、细胞培养上清液和其它生物体液内 ) 原理 本实验采用双抗体夹心 ABC-ELISA 法。用抗人 Chemerin 单抗包被于酶标板上,标准品和样品中的 Chemerin与单抗结合,加入生物素化的抗人 Chemerin ,形成免疫复合物连接在板上,辣根过氧化物酶标记的 Streptavidin 与生物素结合,加入底物
大鼠Chemerin(Chemerin)ELISA试剂盒 说明书
上海西唐生物科技有限公司 021-55229872, 65333639 www.westang.com 大鼠 Chemerin(Chemerin)ELISA 试剂盒 ( 用于血清、血浆、细胞培养上清液和其它生物体液内 ) 原理 本实验采用双抗体夹心 ABC-ELISA 法。用抗大鼠 Chemerin 单抗包被于酶标板上,标准品和样品中的 Chemerin 与单抗结合,加入生物素化的抗大
Generation of Antibody Molecules Through Antibody Engineering
been overcome to a large extent using genetic-engineering techniques to produce chimeric mouse/human and completely human antibodies. Such an approach is particularly suitable because of the domain structure of the antibody molecule ( 2 ), where functional
技术资料暂无技术资料 索取技术资料





![SMAD5 antibody [3H9]](https://img1.dxycdn.com/2022/0328/787/2317555921982500453-14.jpg!wh200)
![hCG beta antibody [WM16/71]](https://img1.dxycdn.com/2022/0328/861/9559899317626500453-14.jpg!wh200)
![TXA synthase antibody [2C1]](https://img1.dxycdn.com/2022/0328/816/6111152112197500453-14.jpg!wh200)



