相关产品推荐更多 >
万千商家帮你免费找货
0 人在求购买到急需产品
- 详细信息
- 文献和实验
- 技术资料
- 免疫原:
KLH-conjugated synthetic peptide encompassing a sequence within the center region of Estrogen Receptor alpha. The exact sequence is proprietary.
- 亚型:
IgG
- 形态:
Liquid
- 保存条件:
Store as concentrated solution. Centrifuge briefly prior to opening vial. For short-term storage (1-2 weeks), store at 4ºC. For long-term storage, aliquot and store at -20ºC or below. Avoid multiple freeze-thaw cycles.
- 克隆性:
Polyclonal
- 标记物:
Unconjugated
- 适应物种:
Human
- 保质期:
12 months from the shipping date of the product.
- 抗原来源:
Human
- 目录编号:
GTX32327
- 级别:
Primary Antibodies
- 库存:
Available
- 供应商:
GeneTex
- 宿主:
Rabbit
- 应用范围:
WB, IHC-P
- 浓度:
Batch dependent (Please refer to the vial label for the specific concentration.)
- 靶点:
Estrogen Receptor alpha (phospho Ser118)
- 抗体英文名:
Estrogen Receptor alpha (phospho Ser118) antibody
- 抗体名:
Estrogen Receptor alpha (phospho Ser118) 抗体
- 规格:
100 μl
WB analysis of EGF-treated MCF7 (A), EGF-treated HeLa (B) whole cell lysates using GTX32327 Estrogen Receptor alpha (phospho Ser118) antibody.
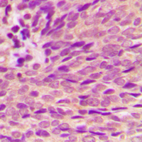
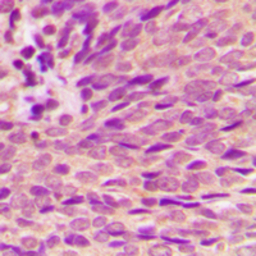
IHC-P analysis of formalin fixed human breast cancer tissue section using GTX32327 Estrogen Receptor alpha (phospho Ser118) antibody.
Antigen retrieval : Heat mediated antigen retrieval with sodium citrate buffer (pH 6.0)
风险提示:丁香通仅作为第三方平台,为商家信息发布提供平台空间。用户咨询产品时请注意保护个人信息及财产安全,合理判断,谨慎选购商品,商家和用户对交易行为负责。对于医疗器械类产品,请先查证核实企业经营资质和医疗器械产品注册证情况。
文献和实验), and causes activation of KOR. Agonist-activated KOR becomes a substrate for G protein receptor kinase (GRK), which phosphorylates the Ser369 residue at the C-terminal tail of the receptor in the first step in the β-Arrestin-dependent desensitization cascade
secondary antibody review -- data from 99 publications
cytometry used as a control to detect cell responses targeted antigen 7 Alexa Fluor 488 7 Cy3 8 goat IgG Alexa Fluor 488 1:2000 detect antibody binding in human embryonic kidney 293T cells Invitrogen 9 donkey
Characterization of Nuclear Receptor Ligands by Multiplexed Peptide Interactions
Figure 13.6.3 Glucocorticoid receptor [F602S] LBD binding to the coactivator peptide PGC‐1 alpha (130‐154) (biotin‐DGTPPPQEAEEPSLLKKLLLAPANT‐CONH2) (A ) or the corepressor peptide NCoR (2251‐2275) (biotin
技术资料暂无技术资料 索取技术资料





![EpCAM antibody [SPM134]](https://img1.dxycdn.com/2022/0328/359/4632278392650700453-14.jpg!wh200)


![Syntrophin alpha 1 antibody [1H10]](https://img1.dxycdn.com/2022/0328/150/7260796215897500453-14.jpg!wh200)


