相关产品推荐更多 >
万千商家帮你免费找货
0 人在求购买到急需产品
- 详细信息
- 文献和实验
- 技术资料
- 免疫原:
ZMYM3 antibody was raised against a 20 amino acid synthetic peptide near the carboxy terminus of human ZMYM3.The immunogen is located within amino acids 780 - 830 of ZMYM3.
- 亚型:
IgG
- 形态:
Liquid
- 保存条件:
Store as concentrated solution. Centrifuge briefly prior to opening vial. For short-term storage (1-2 weeks), store at 4ºC. For long-term storage, aliquot and store at -20ºC or below. Avoid multiple freeze-thaw cycles.
- 克隆性:
Polyclonal
- 标记物:
Unconjugated
- 适应物种:
Human, Mouse, Rat
- 保质期:
12 months from the shipping date of the product.
- 抗原来源:
Human
- 目录编号:
GTX31822
- 级别:
Primary Antibodies
- 库存:
Available
- 供应商:
GeneTex
- 宿主:
Rabbit
- 应用范围:
WB, ICC/IF, IHC-P, ELISA
- 浓度:
1 mg/ml (Please refer to the vial label for the specific concentration.)
- 靶点:
AXIN2 antibody is predicted to not cross-react with AXIN1. At least four isoforms of AXIN2 are known to exist; this antibody will recognize all four.
- 抗体英文名:
Axin 2 antibody
- 抗体名:
Axin 2 抗体
- 规格:
100 μg
IHC-P analysis of mouse lung tissue using GTX31822 Axin 2 antibody.
Red : Primary antibody
Blue : DAPI
Dilution : 20 μg/ml
IHC-P analysis of mouse lung tissue using GTX31822 Axin 2 antibody.
Working concentration : 5 μg/ml
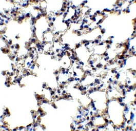
IHC-P analysis of rat lung tissue using GTX31822 Axin 2 antibody.
Working concentration : 5 μg/ml
ICC/IF analysis of HepG2 cells using GTX31822 Axin 2 antibody.
Dilution : 20 μg/ml
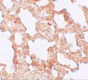
IHC-P analysis of rat lung tissue using GTX31822 Axin 2 antibody.
Working concentration : 20 μg/ml
WB analysis of mouse lung tissue lysate using GTX31822 Axin 2 antibody.
Working concentration : 1 μg/ml
风险提示:丁香通仅作为第三方平台,为商家信息发布提供平台空间。用户咨询产品时请注意保护个人信息及财产安全,合理判断,谨慎选购商品,商家和用户对交易行为负责。对于医疗器械类产品,请先查证核实企业经营资质和医疗器械产品注册证情况。
文献和实验Shota Mitsuboshi et al., Regen Ther 2022 (PMID:35582208)
, axin, and the tumor suppressor, adenomatouspolyposis coli (APC) protein (3) . In the absence of Wnt signaling,GSK-3 targets b-catenin for ubiquitin-mediated proteosomaldegradation by phosphorylation of b-catenin, axin, and APC (3) . Phosphorylation
v468. chapter 4 WNT 细胞通路 检测细胞GSK3活性与表达水平
). As with the immunoprecipitation assay above, thismeasurement may be very transient; or 4. Immunoprecipitation of the Axin–APC complex rather thantotal GSK3 (16 , 17) followed by assay. However, this approachassumes that this is the only GSK3 complex regulated by Wntand
技术资料暂无技术资料 索取技术资料











