相关产品推荐更多 >
万千商家帮你免费找货
0 人在求购买到急需产品
- 详细信息
- 文献和实验
- 技术资料
- 免疫原:
Slug antibody was raised against a 14 amino acid synthetic peptide from near the center of human Slug.The immunogen is located within amino acids 70 - 120 of Slug.
- 亚型:
IgG
- 形态:
Liquid
- 保存条件:
Store as concentrated solution. Centrifuge briefly prior to opening vial. For short-term storage (1-2 weeks), store at 4ºC. For long-term storage, aliquot and store at -20ºC or below. Avoid multiple freeze-thaw cycles.
- 克隆性:
Polyclonal
- 标记物:
Unconjugated
- 适应物种:
Human, Mouse
- 保质期:
12 months from the shipping date of the product.
- 抗原来源:
Human
- 目录编号:
GTX31748
- 级别:
Primary Antibodies
- 库存:
Available
- 供应商:
GeneTex
- 宿主:
Rabbit
- 应用范围:
WB, ELISA
- 浓度:
1 mg/ml (Please refer to the vial label for the specific concentration.)
- 靶点:
SLUG
- 抗体英文名:
SLUG antibody
- 抗体名:
SLUG 抗体
- 规格:
100 μg
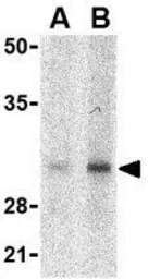
WB analysis of human kidney tissue lysate using GTX31748 SLUG antibody.
Working concentration : (A) 1 and (B) 2 μg/ml
风险提示:丁香通仅作为第三方平台,为商家信息发布提供平台空间。用户咨询产品时请注意保护个人信息及财产安全,合理判断,谨慎选购商品,商家和用户对交易行为负责。对于医疗器械类产品,请先查证核实企业经营资质和医疗器械产品注册证情况。
文献和实验Dictyostelium slugs are able to respond to environmental stimuli in an extremely sensitive and efficient way. This enables a slug to migrate to more favourable locations for formation of fruiting bodies and dispersal of spores. Phototaxis
肺螺亚纲柄眼目的 1科。俗名“蜒蚰”,“鼻涕虫”。现生种类广分布于欧洲、亚洲、北美和北非。陆生。体柔软,形状似去壳的蜗牛,外形呈不规则的圆柱形。壳退化为一石灰质的薄板,位于身体前端背部,被外套膜包裹而成内壳。有尾嵴。体呈灰色、黄褐色或橙色,具有不明显的暗带和斑点。触角 2对。眼位于后触角的顶端。雌、雄生殖孔为 1共同孔,位于身体右侧、前右触角的后下方。肺孔开口在外套膜的后缘。身体经常分泌粘液,爬行后留下银白色的痕迹。生活于阴暗、潮湿处,白昼潜伏,夜晚和雨天外出活动。雌雄
鳞翅目的 1科。体粗壮,鳞毛厚密,缺喙;幼虫具枝刺和毒毛的中型蛾类。世界记载有1000种,中国记录约90种。由于这类幼虫体上有枝刺和毒毛,触及皮肤立即发生红肿,疼痛异常,俗称“痒辣子”、“火辣子”或“刺毛虫”,刺蛾一名也由此而来。 刺蛾成虫中等大小,身体和前翅密生绒毛和厚鳞,大多黄褐色、暗灰色和绿色,间有红色,少数底色洁白,具斑纹。夜间活动,有趋光性。口器退化,下唇须短小,少数较长。雄蛾触角一般为双栉形,翅较短阔。幼虫体扁,蛞蝓形,其上生有枝刺和毒毛,有些种类较光滑
技术资料暂无技术资料 索取技术资料





![Bcl-2 antibody [GT11210]](https://img1.dxycdn.com/2022/0329/285/2351000252795020453-14.jpg!wh200)





