相关产品推荐更多 >
万千商家帮你免费找货
0 人在求购买到急需产品
- 详细信息
- 文献和实验
- 技术资料
- 免疫原:
Bovine Alpha-Tubulin.
- 亚型:
IgG1
- 形态:
Liquid
- 保存条件:
Store as concentrated solution. Centrifuge briefly prior to opening vial. For short-term storage (1-2 weeks), store at 4℃. For long-term storage, aliquot and store at -20℃ or below. Avoid multiple freeze-thaw cycles.
- 克隆性:
Monoclonal
- 标记物:
Unconjugated
- 适应物种:
Human|Mouse|Rat|Drosophila|Bovine|Hamster|Marsupials|Primate
- 保质期:
12 months from the shipping date of the product.
- 抗原来源:
Bovine
- 目录编号:
GTX31126
- 级别:
Primary Antibodies
- 库存:
Available
- 供应商:
GeneTex
- 宿主:
Mouse
- 应用范围:
WB|ICC/IF|IHC-P|IHC-Fr|FACS|IHC
- 浓度:
Batch dependent (Please refer to the vial label for the specific concentration.)
- 靶点:
alpha Tubulin
- 抗体英文名:
alpha Tubulin antibody [236-10501]
- 抗体名:
alpha Tubulin 抗体 [236-10501]
- 规格:
50 μg
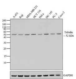
WB analysis of 20 μg of A431 (Lane 1), Raji (Lane 2), MDA-MB-231 (Lane 3), HCT 116 (Lane 4), HeLa (Lane 5), DU 145 (Lane 6), PC-3 (Lane 7) and Caco-2 (Lane 8) cell lysate using GTX31126 alpha Tubulin antibody [236-10501].
Dilution : 1:4000
ICC/IF analysis of bovine pulmonary endothelial cells using GTX31126 alpha Tubulin antibody [236-10501].
Blue : Alpha tubulin
Green : Nuclei
Red : mitochondrion tracker
Fixation : formaldehyde
Permeabilization : AceTone
ICC/IF analysis of permeabilized muntjac skin fibroblasts using GTX31126 alpha Tubulin antibody [236-10501].
Green :alpha tubulin
Yellow : Paxillin
Blue : CDC6
ICC/IF analysis of NIH-3T3 cells using GTX31126 alpha Tubulin antibody [236-10501].
Blue : Primary antibody
Red : cell nucleus
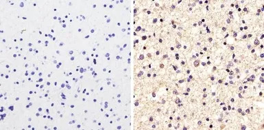
IHC-P analysis of human astroglioma tissue using GTX31126 alpha Tubulin antibody [236-10501].
Right : Primary antibody
Left : Negative control without primary antibody
Antigen retrieval : 10mM sodium citrate (pH 6.0), microwaved for 8-15 min
Dilution : 1:100
ICC/IF analysis of bovine pulmonary artery endothelial (BPAE) cells using GTX31126 alpha Tubulin antibody [236-10501].
Green : Actin
Red : Alpha tubulin
ICC/IF analysis of HeLa cells using GTX31126 alpha Tubulin antibody [236-10501]. Panel e is a no primary antibody control.
Green : Primary antibody
Blue : Nuclei
Red : Actin
Fixation : 4% PFA
Permeabilization : 0.25% Triton X-100 for 10 minutes
Dilution : 1 μg/ml in 1% BSA and incubated for 3 hours at room temperature
IHC-Fr analysis of 14 μm coronal section of mouse hippocampus using GTX31126 alpha Tubulin antibody [236-10501].
Green : Primary antibody
Blue : cell nucleus
Red : neuronal cell bodies
ICC/IF analysis of bovine pulmonary artery endothelial (BPAE) cells using GTX31126 alpha Tubulin antibody [236-10501].
Blue : Primary antibody
Red : Actin
Green : wheat germ agglutinin to stain components of endosomal pathways
ICC/IF analysis of bovine pulmonary artery endothelial cells using GTX31126 alpha Tubulin antibody [236-10501].
ICC/IF analysis of HeLa cells using GTX31126 alpha Tubulin antibody [236-10501].
Magenta : Primary antibody
Purple : Actin
Blue : DNA
WB analysis of decreasing amounts of a-tubulin protein using GTX31126 alpha Tubulin antibody [236-10501].
风险提示:丁香通仅作为第三方平台,为商家信息发布提供平台空间。用户咨询产品时请注意保护个人信息及财产安全,合理判断,谨慎选购商品,商家和用户对交易行为负责。对于医疗器械类产品,请先查证核实企业经营资质和医疗器械产品注册证情况。
文献和实验Immunofluorescent Localization of Tubulin
antibody to tubulin) FITC-labeled goat anti-rabbit (or secondary antibody to match the primary) Fluorescence Mounting Media Fluorescent Microscope equipped with 490 nm excitation filter and 515 nmbarrier filter Kodachrome film
. Here, we describe the detection of autoAbs to various self-antigens with different tissue restriction patterns which includes collagens, k-α1 tubulin, vimentin, and myosin. We also discuss their relevance in monitoring for rejection following solid organ transplantation.
Preparation of Pure Tyrosinated or Detyrosinated Tubulin Isoforms
Alpha tubulin comprises a C-terminal tyrosine residue, which is subject to cyclic removal from the peptide chain by a still uncharacterized carboxypeptidase and re-addition to the chain by a tubulin tyrosine ligase. We have shown in different
技术资料暂无技术资料 索取技术资料






![Lamin A + C antibody [GT9712]](https://img1.dxycdn.com/2022/0329/124/3570269911965020453-14.jpg!wh200)

![CD200 antibody [OX-2]](https://img1.dxycdn.com/2022/0328/472/4586339067124400453-14.jpg!wh200)


