相关产品推荐更多 >
万千商家帮你免费找货
0 人在求购买到急需产品
- 详细信息
- 文献和实验
- 技术资料
- 免疫原:
Full length recombinant NQO1 from human lung [UniProt# P15559]
- 亚型:
IgG1
- 形态:
Liquid
- 保存条件:
Store as concentrated solution. Centrifuge briefly prior to opening vial. For short-term storage (1-2 weeks), store at 4ºC. For long-term storage, aliquot and store at -20ºC or below. Avoid multiple freeze-thaw cycles.
- 克隆性:
Monoclonal
- 标记物:
Unconjugated
- 适应物种:
Human, Mouse, Rat, Dog, Primate
- 保质期:
12 months from the shipping date of the product.
- 抗原来源:
Human
- 目录编号:
GTX30626
- 级别:
Primary Antibodies
- 库存:
Available
- 供应商:
GeneTex
- 宿主:
Mouse
- 应用范围:
WB, ICC/IF, IHC-P, IHC-Fr, FACS, IP
- 浓度:
1 mg/ml (Please refer to the vial label for the specific concentration.)
- 靶点:
Does not cross-react with NQO2.
- 抗体英文名:
NQO1 antibody [A180]
- 抗体名:
NQO1 抗体 [A180]
- 规格:
100 μl
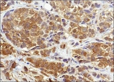
IHC-P analysis of human breast carcinoma tissue using GTX30626 NQO1 antibody [A180].
WB analysis of A431 cell lysate using GTX30626 NQO1 antibody [A180].
FACS (Intracellular staining) analysis of U87-MG cells using GTX30626 NQO1 antibody [A180].
Blue : Primary antibody
Orange : isotype control
Dilution : 1 μg/mL
Fixation : 4% PFA
Permibilization : 0.1% saponin
WB analysis of A549 cell lysate using GTX30626 NQO1 antibody [A180].
Lane 1 : 0.5 ug/ml
Lane 2 : 2 ug/ml
Dilution : 2 μg/ml
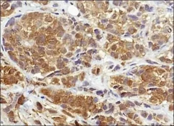
IHC-P analysis of human kidney tissue using GTX30626 NQO1 antibody [A180].
ICC/IF analysis of U2OS cells using GTX30626 NQO1 antibody [A180].
Green : primary antibody
Red : Beta-tubulin
Blue : DAPI
FACS (Intracellular staining) analysis of A549 cells using GTX30626 NQO1 antibody [A180].
Filled histogram : primary antibody
Open histogram : isotype control
风险提示:丁香通仅作为第三方平台,为商家信息发布提供平台空间。用户咨询产品时请注意保护个人信息及财产安全,合理判断,谨慎选购商品,商家和用户对交易行为负责。对于医疗器械类产品,请先查证核实企业经营资质和医疗器械产品注册证情况。
文献和实验Bai X et al., Oxid Med Cell Longev 2019 (PMID:31534619)
Jeongsu Han et al., Oxidative Medicine and Cellular Longevity 2019 2019()
技术资料暂无技术资料 索取技术资料







![CD40 antibody [MAB0805]](https://img1.dxycdn.com/2022/0328/511/7674675199299400453-14.jpg!wh200)
![alpha B Crystallin antibody [1D11C6E6]](https://img1.dxycdn.com/2022/0328/098/5874133716747500453-14.jpg!wh200)


