相关产品推荐更多 >
万千商家帮你免费找货
0 人在求购买到急需产品
- 详细信息
- 文献和实验
- 技术资料
- 免疫原:
Activated recombinant human MMP2. [UniProt# P08253]
- 亚型:
IgG1
- 形态:
Liquid
- 保存条件:
Store as concentrated solution. Centrifuge briefly prior to opening vial. For short-term storage (1-2 weeks), store at 4ºC. For long-term storage, aliquot and store at -20ºC or below. Avoid multiple freeze-thaw cycles.
- 克隆性:
Monoclonal
- 标记物:
Unconjugated
- 适应物种:
Human, Mouse, Rat
- 保质期:
12 months from the shipping date of the product.
- 抗原来源:
Human
- 目录编号:
GTX30147
- 级别:
Primary Antibodies
- 库存:
Available
- 供应商:
GeneTex
- 宿主:
Mouse
- 应用范围:
WB, ICC/IF, IHC-P, IHC-Fr, IP, ELISA
- 浓度:
1 mg/ml (Please refer to the vial label for the specific concentration.)
- 靶点:
This is specific for pro and active MMP2.
- 抗体英文名:
MMP2 antibody [8B4]
- 抗体名:
MMP2 抗体 [8B4]
- 规格:
100 μl
WB analysis of pro-MMP2 (lane 1), active MMP2 (lane 2) and human pressure ulcer biopsy (lane 3) using GTX30147 MMP2 antibody [8B4].
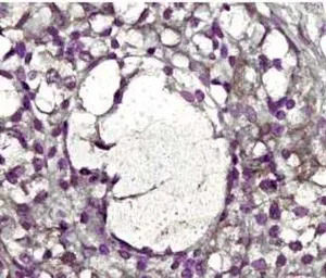
IHC-P analysis of human ovary tissue using GTX30147 MMP2 antibody [8B4].
Dilution : 2.5 μg/ml
风险提示:丁香通仅作为第三方平台,为商家信息发布提供平台空间。用户咨询产品时请注意保护个人信息及财产安全,合理判断,谨慎选购商品,商家和用户对交易行为负责。对于医疗器械类产品,请先查证核实企业经营资质和医疗器械产品注册证情况。
文献和实验Corradi D et al., J Cardiovasc Electrophysiol 2012 (PMID:21954878)
PL Hsu et al., Sci Adv 2023 (PMID:37043564)
Chiarelli R et al., Int J Mol Sci 2022 (PMID:36430713)
Jhen-Hao Jhan et al., Cancers (Basel) 2022 (PMID:35205628)
High‐Throughput, Multiplexed Analysis of 3‐Nitrotyrosine in Individual Proteins
. In addition, modifications in single?tissue?associated proteins released into blood can provide insight into the tissue localization of the inflammation or oxidative stress. We have developed an enzyme?linked immunosorbent assay antibody microarray platform
技术资料暂无技术资料 索取技术资料





![HPRT antibody [AT2G8]](https://img1.dxycdn.com/2022/0328/178/5822473721370800453-14.jpg!wh200)



![ALDH1L1 antibody [5G8]](https://img1.dxycdn.com/2022/0328/551/4418930172588500453-14.jpg!wh200)

