相关产品推荐更多 >
万千商家帮你免费找货
0 人在求购买到急需产品
- 详细信息
- 文献和实验
- 技术资料
- 免疫原:
Recombinant fusion protein containing a sequence corresponding to amino acids 1-223 of human AK4 (NP_037542.1).
- 亚型:
IgG
- 形态:
Liquid
- 保存条件:
Store as concentrated solution. Centrifuge briefly prior to opening vial. For short-term storage (1-2 weeks), store at 4ºC. For long-term storage, aliquot and store at -20ºC or below. Avoid multiple freeze-thaw cycles.
- 克隆性:
Polyclonal
- 标记物:
Unconjugated
- 适应物种:
Human, Mouse, Rat
- 保质期:
12 months from the shipping date of the product.
- 抗原来源:
Human
- 目录编号:
GTX30038
- 级别:
Primary Antibodies
- 库存:
Available
- 供应商:
GeneTex
- 宿主:
Rabbit
- 应用范围:
WB, ICC/IF, IHC-P, IP
- 浓度:
Batch dependent (Please refer to the vial label for the specific concentration.)
- 靶点:
Adenylate kinase 4
- 抗体英文名:
Adenylate kinase 4 antibody
- 抗体名:
Adenylate kinase 4 抗体
- 规格:
100 μl
ICC/IF analysis of HeLa cells using GTX30038 Adenylate kinase 4 antibody.
Blue : DAPI
WB analysis of various sample lysates using GTX30038 Adenylate kinase 4 antibody.
Dilution : 1:1000
Loading : 25μg per lane
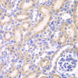
IHC-P analysis of rat kidney tissue using GTX30038 Adenylate kinase 4 antibody.
Dilution : 1:200
IP analysis of HepG2 cell lysate using GTX30038 Adenylate kinase 4 antibody.
Antibody amount : 3μg / 200μg lysate
Dilution : 1:1000
风险提示:丁香通仅作为第三方平台,为商家信息发布提供平台空间。用户咨询产品时请注意保护个人信息及财产安全,合理判断,谨慎选购商品,商家和用户对交易行为负责。对于医疗器械类产品,请先查证核实企业经营资质和医疗器械产品注册证情况。
文献和实验Jan YH et al., bioRxiv 2017 (Epub)
腺苷酸激酶 adenylate kinase 催化腺苷三磷酸( ATP)使腺苷酸( AMP)磷酸化而生成腺苷二磷酸( ADP)反应的酶, EC 2. 7. 4. 3.逆反应由 2个分子 ADP生成 ATP和 AMP。 最初为科洛韦克和卡尔查尔( S. P. Colowick andH. M. Kalckar, 1943)在肌肉中发现,称为肌激酶。已知在肝脏、肾脏、微生物中都存在。脱氧腺苷酸也可以作为底物。此酶特别稳定
Antibody Techniques Used in the Study of Anaplastic Lymphoma Kinase-Positive ALCL
of leukemia and lymphoma pathology. The use of antibodies specific for anaplastic lymphoma kinase (ALK) protein has permitted the identification of the tumor entity ALK-positive from the poorly defined morphological category of anaplastic large cell lymphoma
PROTOCOL To 1.5 mL eppendorf tubes add: 200 µg of protein extract (see Western blot protocol for protein sample preps) q.s. to 300 µL with RIPA (with protease and phosphatase inhibitors). Primary antibody (amount determined
技术资料暂无技术资料 索取技术资料








![E-Cadherin antibody [MSVA-035R] HistoMAX](https://custom.dxycdn.com/trademd/upload/pic/2013/11/12/A1383891150.jpg!small.t.1)


