相关产品推荐更多 >
万千商家帮你免费找货
0 人在求购买到急需产品
- 详细信息
- 文献和实验
- 技术资料
- 免疫原:
von Willebrand Factor (Factor VIII-related antigen) from human plasma.
- 亚型:
IgG
- 形态:
Liquid
- 保存条件:
Store as concentrated solution. Centrifuge briefly prior to opening vial. For short-term storage (1-2 weeks), store at 4℃. For long-term storage, aliquot and store at -20℃ or below. Avoid multiple freeze-thaw cycles.
- 克隆性:
Polyclonal
- 标记物:
Unconjugated
- 适应物种:
Human, Mouse
- 保质期:
12 months from the shipping date of the product.
- 抗原来源:
Human
- 目录编号:
GTX26994
- 级别:
Primary Antibodies
- 库存:
Available
- 供应商:
GeneTex
- 宿主:
Rabbit
- 应用范围:
WB, IHC-P
- 浓度:
Batch dependent (Please refer to the vial label for the specific concentration.)
- 靶点:
VWF
- 抗体英文名:
VWF antibody
- 抗体名:
VWF 抗体
- 规格:
100 μl
VWF antibody detects VWF protein at cell membrane in mouse liver by immunohistochemical analysis.
Sample: Paraffin-embedded mouse liver.
VWF antibody (GTX26994) diluted at 1:2000.
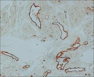
IHC-P analysis of human kidney tissue using GTX26994 VWF antibody at 1:2,000.
IHC-P analysis of human kidney tissue using GTX26994 VWF antibody at 1:2000.
风险提示:丁香通仅作为第三方平台,为商家信息发布提供平台空间。用户咨询产品时请注意保护个人信息及财产安全,合理判断,谨慎选购商品,商家和用户对交易行为负责。对于医疗器械类产品,请先查证核实企业经营资质和医疗器械产品注册证情况。
文献和实验Crow S et al., Ann Thorac Surg 2010 (PMID:20868825)
Shie MY et al., Materials Science and Engineering: C 2017 73()
技术资料暂无技术资料 索取技术资料





![CD46 antibody [001]](https://img1.dxycdn.com/2022/0328/879/0855230897028700453-14.jpg!wh200)
![Neurturin antibody [32E21]](https://img1.dxycdn.com/2022/0328/342/4163239230979400453-14.jpg!wh200)

![CIB1 antibody [1D1]](https://img1.dxycdn.com/2022/0328/679/6323407790900500453-14.jpg!wh200)
![Glutamine synthetase antibody [1F4]](https://img1.dxycdn.com/2022/0328/886/7965287850358500453-14.jpg!wh200)
