相关产品推荐更多 >
万千商家帮你免费找货
0 人在求购买到急需产品
- 详细信息
- 文献和实验
- 技术资料
- 免疫原:
Full length human recombinant protein of human GLUL (NP_002056) produced in HEK293T cell.
- 亚型:
IgG2a
- 形态:
Liquid
- 保存条件:
Store as concentrated solution. Centrifuge briefly prior to opening vial. For short-term storage (1-2 weeks), store at 4ºC. For long-term storage, aliquot and store at -20ºC or below. Avoid multiple freeze-thaw cycles.
- 克隆性:
Monoclonal
- 标记物:
Unconjugated
- 适应物种:
Human
- 保质期:
12 months from the shipping date of the product.
- 抗原来源:
Human
- 目录编号:
GTX84426
- 级别:
Primary Antibodies
- 库存:
Available
- 供应商:
GeneTex
- 宿主:
Mouse
- 应用范围:
WB, ICC/IF, IHC-P, FACS
- 浓度:
1 mg/ml (Please refer to the vial label for the specific concentration.)
- 靶点:
Glutamine synthetase
- 抗体英文名:
Glutamine synthetase antibody [1F4]
- 抗体名:
Glutamine synthetase 抗体 [1F4]
- 规格:
100 μl
IHC-P analysis of human endometrium tissue using GTX84426 Glutamine synthetase antibody [1F4].
Antigen retrieval : Heat-induced epitope retrieval by 10mM citrate buffer, pH6.0, 100ºC for 10min.
WB analysis of HEK293T cells transfected with Glutamine synthetase plasmid (Right) or empty vector (Left) for 48 hrs using GTX84426 Glutamine synthetase antibody [1F4].
Loading : 5 ug per lane
FACS analysis of Jurkat cells using GTX84426 Glutamine synthetase antibody [1F4].
Red : Primary antibody
Blue : Negative control antibody
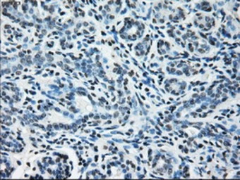
IHC-P analysis of human breast tissue using GTX84426 Glutamine synthetase antibody [1F4].
Antigen retrieval : Heat-induced epitope retrieval by 10mM citrate buffer, pH6.0, 100ºC for 10min.
FACS analysis of HeLa cells using GTX84426 Glutamine synthetase antibody [1F4].
Red : Primary antibody
Blue : Negative control antibody
ICC/IF analysis of HepG2 cells using GTX84426 Glutamine synthetase antibody [1F4].
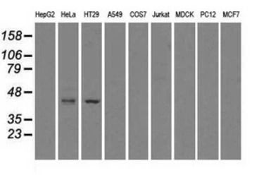
WB analysis of various cell lines using GTX84426 Glutamine synthetase antibody [1F4].
Loading : 35 ug per lane
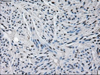
IHC-P analysis of human ovary tissue using GTX84426 Glutamine synthetase antibody [1F4].
Antigen retrieval : Heat-induced epitope retrieval by 10mM citrate buffer, pH6.0, 100ºC for 10min.
ICC/IF analysis of COS7 cells transiently transfected with Glutamine synthetase plasmid using GTX84426 Glutamine synthetase antibody [1F4].
风险提示:丁香通仅作为第三方平台,为商家信息发布提供平台空间。用户咨询产品时请注意保护个人信息及财产安全,合理判断,谨慎选购商品,商家和用户对交易行为负责。对于医疗器械类产品,请先查证核实企业经营资质和医疗器械产品注册证情况。
文献和实验Guenther SR et al., Graefes Arch Clin Exp Ophthalmol 2021 (PMID:34729639)
缩写为 GS。为在 ATP的存在下使氨与谷氨酸结合生成谷氨酰胺的酶, EC. 6. 3. 1. 2. L-谷氨酸 氨 ATPL- 谷氨酰胺 ADP Pi反应机制很复杂,要经过酶蛋白与γ -谷氨酰磷酸的中间体。与谷氨酰胺合成反应不同的是可将γ -谷氨酰基转移于适当的受体,具有如羟胺的γ -谷氨酰基转移酶的活性。广泛分布于微生物和高等动植物中,除了可供给谷氨酰氨外,还有与谷氨酸合成酶偶联向α -氨基酸供给氨基的重要功能。大肠杆菌和枯草菌的酶是由分子量为 5万的单一的 12个亚基
Enzymatic Antibody Modification by Bacterial Transglutaminase
between glutamine 295 of the antibody heavy chain and the substrate. This procedure requires enzymatic removal of N-linked glycans from the antibody and yields a defined substrate/antibody ratio of 2:1. Alternatively, a mutant aglycosylated IgG1 variant
monoclonal antibody production fusion
SOLUTIONS IMDM (Iscove's Modified Dulbecco's Medium with 25 mM Hepes/with L-Glutamine) BioWhittaker Europe Cat.: BE12-722F IMDM-FCS(10%v/v)-HTx100(1%v/v)-AJ(5%v/v)-IL-6 (100 U/ml) IMDM - FCS(10%v/v) - HTx
技术资料暂无技术资料 索取技术资料






![MUC1 antibody [MUC1/967]](https://img1.dxycdn.com/2022/0328/571/4115948651290700453-14.jpg!wh200)




