相关产品推荐更多 >
万千商家帮你免费找货
0 人在求购买到急需产品
- 详细信息
- 文献和实验
- 技术资料
- 免疫原:
Synthetic peptide corresponding to residues S(4) G F N A D Y E A S S S R C(17) of human cFos.
- 亚型:
IgG
- 形态:
Liquid
- 保存条件:
Store as concentrated solution. Centrifuge briefly prior to opening vial. For short-term storage (1-2 weeks), store at 4ºC. For long-term storage, aliquot and store at -20ºC or below. Avoid multiple freeze-thaw cycles.
- 克隆性:
Polyclonal
- 标记物:
Unconjugated
- 适应物种:
Human, Mouse
- 保质期:
12 months from the shipping date of the product.
- 抗原来源:
Human
- 目录编号:
GTX25794
- 级别:
Primary Antibodies
- 库存:
Available
- 供应商:
GeneTex
- 宿主:
Rabbit
- 应用范围:
WB, ICC/IF, IHC-P, FACS
- 浓度:
Batch dependent (Please refer to the vial label for the specific concentration.)
- 靶点:
c-Fos
- 抗体英文名:
c-Fos antibody
- 抗体名:
c-Fos 抗体
- 规格:
200 μg
WB analysis of 50 ug of serum (20% Serum, 2 hours following 0.25% serum starvation, 36 hours) treated HeLa and 293T whole cell lysate using GTX25794 c-Fos antibody.
Dilution : 1:500
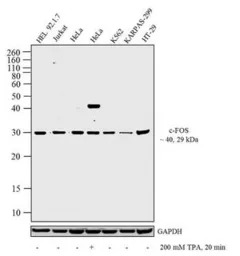
WB analysis of whole cell extracts (30 μg lysate) of HEL 92.1.7 (Lane 1), Jurkat (Lane 2), HeLa (Lane 3), HeLa treated for 20 minutes with 200 mM of TPA (Lane 4), K562 (Lane 5), KARPAS-299 (Lane 6) and HT-29 (Lane 7) using GTX25794 c-Fos antibody.
Dilution : 1-3 μg/ml
ICC/IF analysis of HeLa cells using GTX25794 c-Fos antibody.
Fixation : Formalin
Permeabilization : 0.1% Triton X-100 in TBS for 15 minutes at room temperature
Dilution : 1:500 for at least 1 hour at room temperature
风险提示:丁香通仅作为第三方平台,为商家信息发布提供平台空间。用户咨询产品时请注意保护个人信息及财产安全,合理判断,谨慎选购商品,商家和用户对交易行为负责。对于医疗器械类产品,请先查证核实企业经营资质和医疗器械产品注册证情况。
文献和实验Wang F et al., EBioMedicine 2020 (PMID:32949999)
上海西唐生物科技有限公司 021-55229872, 65333639 www.westang.com 人C-Fos ELISA 试剂盒 原理 本实验采用双抗体夹心 ABC-ELISA 法。用抗人 C-Fos 单抗包被于酶标板上,标准品和样品中的 C-Fos与单抗结合,加入生物素化的抗人 C-Fos ,形成免疫复合物连接在板上,辣根过氧化物酶标记的 Streptavidin 与生物素结合
Antisense Therapeutics in the Central Nervous System: The Induction of c-fos
and cocaine These drugs produce a robust activation of IEGs (e.g., c-fos, jun -B, egr -1) in areas of the brain that are believed to be part of the neural substrates of addiction (4–8 ) In animal models of epileptogenesis or memory, such as kindling and long
上海西唐生物科技有限公司 021-55229872, 65333639 www.westang.com 大鼠 C-Fos ELISA 试剂盒 原理 本实验采用双抗体夹心 ABC-ELISA 法。用抗大鼠 C-Fos 单抗包被于酶标板上,标准品和样品中的 C-Fos 与单抗结合,加入生物素化的抗大鼠 C-Fos ,形成免疫复合物连接在板上,辣根过氧化物酶标记的 Streptavidin 与生物素结合,加入底物工作液显蓝
技术资料暂无技术资料 索取技术资料





![Cathepsin Z antibody [AT6G11]](https://img1.dxycdn.com/2022/0328/926/8947874678500500453-14.jpg!wh200)





