相关产品推荐更多 >
万千商家帮你免费找货
0 人在求购买到急需产品
- 详细信息
- 文献和实验
- 技术资料
- 免疫原:
The antiserum was produced against a chemically synthesized peptide derived from the human BID fragment (p15).
- 亚型:
IgG
- 形态:
Liquid
- 保存条件:
Store as concentrated solution. Centrifuge briefly prior to opening vial. For short-term storage (1-2 weeks), store at 4ºC. For long-term storage, aliquot and store at -20ºC or below. Avoid multiple freeze-thaw cycles.
- 克隆性:
Polyclonal
- 标记物:
Unconjugated
- 适应物种:
Human, Mouse, Rat
- 保质期:
12 months from the shipping date of the product.
- 抗原来源:
Human
- 目录编号:
GTX25498
- 级别:
Primary Antibodies
- 库存:
Available
- 供应商:
GeneTex
- 宿主:
Rabbit
- 应用范围:
WB, ICC/IF
- 浓度:
Batch dependent (Please refer to the vial label for the specific concentration.)
- 靶点:
Recognizes the human C-terminal 15 kDa fragment of BID (p15).
- 抗体英文名:
Bid (p15-specific ) antibody
- 抗体名:
Bid (p15-specific ) 抗体
- 规格:
50 μl
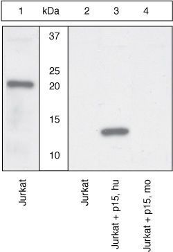
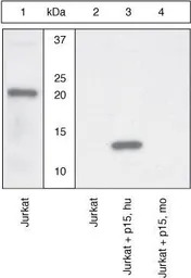
WB analysis of Jurkat cells without added BID (Lanes 1 and 2), with caspase-8 cleaved recombinant human BID (Lane 3), or with caspase-8 cleaved recombinant mouse BID (Lane 4) using either a human BID full length antibody (lane 1) or GTX25498 Bid (p15-specific ) antibody (lanes 2-4). The data show that the human BID (p15) antibody recognizes only the human 15 kDa BID fragment, demonstrating the specificity of the antibody.
ICC/IF analysis of A549 cells using GTX25498 Bid (p15-specific ) antibody. Panel e is a no primary antibody control.
Green : Primary antibody
Blue : Nuclei
Red : Actin
Fixation : 4% PFA
Permeabilization : 0.25% Triton X-100 for 10 minutes
Dilution : 1:250 dilution in 1% BSA incubated for 3 hours at room temperature
风险提示:丁香通仅作为第三方平台,为商家信息发布提供平台空间。用户咨询产品时请注意保护个人信息及财产安全,合理判断,谨慎选购商品,商家和用户对交易行为负责。对于医疗器械类产品,请先查证核实企业经营资质和医疗器械产品注册证情况。
文献和实验Li Y et al., Mol Cell Biochem 2009 (PMID:19521670)
Screening of Antigen-Specific Antibody-Secreting Cells
Screening of antigen-specific antibody-producing cells is a key step for obtaining antigen-specific monoclonal antibodies. In murine system, hybridoma between B-lymphocytes and myeloma cells is used to screen and produce antigen-specific
Antibody Targeting of Nanoparticles to Tumor-Specific Receptors: Immunoliposomes
Immunoliposomes generated by coupling of antibodies to the liposomal surface allow for an active tissue targeting, e.g., through binding to tumor cell-specific receptors. Instead of whole antibodies, single-chain Fv fragments (scFv
HIV-1-Specific Antibody-Dependent Cellular Cytotoxicity (ADCC)
-1-infected cells thereby decreasing viral load (1 –5 ) . The effector cells for ADCC are natural killer (NK) cells, that mediate lysis in a non-MHC restricted fashion. NK cells expressing CD16+ low affinity Fc-receptors bind to antibody which specifically
技术资料暂无技术资料 索取技术资料






![p63 antibody [7JUL]](https://img1.dxycdn.com/2022/0328/856/0660055056818700453-14.jpg!wh200)
![Blood Group A1B antigen antibody [HE-24]](https://img1.dxycdn.com/2022/0328/540/6877873187009300453-14.jpg!wh200)



