相关产品推荐更多 >
万千商家帮你免费找货
0 人在求购买到急需产品
- 详细信息
- 文献和实验
- 技术资料
- 免疫原:
Full length human recombinant protein of human RNH1 (NP_002930) produced in HEK293T cell.
- 亚型:
IgG1
- 形态:
Liquid
- 保存条件:
Store as concentrated solution. Centrifuge briefly prior to opening vial. For short-term storage (1-2 weeks), store at 4ºC. For long-term storage, aliquot and store at -20ºC or below. Avoid multiple freeze-thaw cycles.
- 克隆性:
Monoclonal
- 标记物:
Unconjugated
- 适应物种:
Human
- 保质期:
12 months from the shipping date of the product.
- 抗原来源:
Human
- 目录编号:
GTX83697
- 级别:
Primary Antibodies
- 库存:
Available
- 供应商:
GeneTex
- 宿主:
Mouse
- 应用范围:
WB, ICC/IF, IHC-P, FACS
- 浓度:
1 mg/ml (Please refer to the vial label for the specific concentration.)
- 靶点:
Ribonuclease Inhibitor
- 抗体英文名:
Ribonuclease Inhibitor antibody [4G4]
- 抗体名:
Ribonuclease Inhibitor 抗体 [4G4]
- 规格:
100 μl
FACS analysis of HeLa cells using GTX83697 Ribonuclease Inhibitor antibody [4G4].
Red : Primary antibody
Blue : Negative control antibody
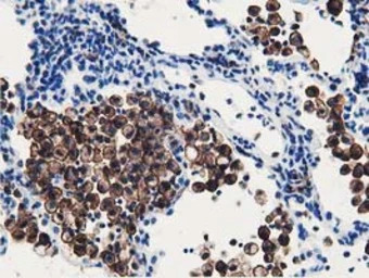
IHC-P analysis of human lung carcinoma tissue using GTX83697 Ribonuclease Inhibitor antibody [4G4].
ICC/IF analysis of COS7 cells transiently transfected with Ribonuclease Inhibitor plasmid using GTX83697 Ribonuclease Inhibitor antibody [4G4].
FACS analysis of HEK293T cells transfected with either Ribonuclease Inhibitor plasmid(Red) or empty vector control plasmid(Blue) using GTX83697 Ribonuclease Inhibitor antibody [4G4].
WB analysis of HEK293T cells transfected with Ribonuclease Inhibitor plasmid (Right) or empty vector (Left) for 48 hrs using GTX83697 Ribonuclease Inhibitor antibody [4G4].
Loading : 5 ug per lane
风险提示:丁香通仅作为第三方平台,为商家信息发布提供平台空间。用户咨询产品时请注意保护个人信息及财产安全,合理判断,谨慎选购商品,商家和用户对交易行为负责。对于医疗器械类产品,请先查证核实企业经营资质和医疗器械产品注册证情况。
文献和实验Ribonuclease inhibitor (RI) is a cytoplasmic protein of ∼50 kDa that tightly binds and inhibits ribonucleases (RNases) from the pancreatic superfamily (1 ). Diverse RNases with very limited sequence similarities, including RNase
Ribonuclease A (RNase A), DNase-free
is a ~50 kDa protein from cytosol of mammalian cells, e.g., RiboLock™ Ribonuclease Inhibitor.Other inhibitors: uridine 2’,3’-cyclic vanadate, 5’-diphosphoadenosine 3’-phosphate and 5’-diphosphoadenosine 2’-phosphate (2), SDS, diethyl pyrocarbonate, 4 M
Methods for Studying the Interaction of Barnase with Its Inhibitor Barstar
Barnase is a 110-residue extracellular ribonuclease produced by Bacillus amyloliquefaciens . The same organism produces an 89-residue polypeptide, barstar, which binds tightly to barnase and inhibits its potentially lethal RNase activity
技术资料暂无技术资料 索取技术资料








![ID2 antibody [4E12G5]](https://img1.dxycdn.com/2022/0328/273/4868236701213500453-14.jpg!wh200)


