相关产品推荐更多 >
万千商家帮你免费找货
0 人在求购买到急需产品
- 详细信息
- 文献和实验
- 技术资料
- 免疫原:
BALB/C mice were injected with reduced and alkylated purified human TSP (fully denatured) from the supernatant of thrombin-activated platelets.
- 亚型:
IgG1
- 形态:
Liquid
- 保存条件:
Store as concentrated solution. Centrifuge briefly prior to opening vial. Store at 4ºC.
- 克隆性:
Monoclonal
- 标记物:
Unconjugated
- 适应物种:
Human, Mouse
- 保质期:
12 months from the shipping date of the product.
- 抗原来源:
Human
- 目录编号:
GTX21823
- 级别:
Primary Antibodies
- 库存:
Available
- 供应商:
GeneTex
- 宿主:
Mouse
- 应用范围:
WB, IHC-P, Neutralizing/Inhibition
- 浓度:
Batch dependent (Please refer to the vial label for the specific concentration.)
- 靶点:
This antibody is specific to 450 kDa (non-reduced) and 170 to 180 kD (reduced) form of thrombospondin.
- 抗体英文名:
Thrombospondin antibody [A6-1]
- 抗体名:
Thrombospondin 抗体 [A6-1]
- 规格:
250 μl
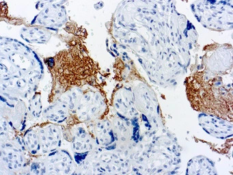
IHC-P analysis of human tonsil tissue using GTX21823 Thrombospondin antibody [A6.1].
风险提示:丁香通仅作为第三方平台,为商家信息发布提供平台空间。用户咨询产品时请注意保护个人信息及财产安全,合理判断,谨慎选购商品,商家和用户对交易行为负责。对于医疗器械类产品,请先查证核实企业经营资质和医疗器械产品注册证情况。
文献和实验Chu YY et al., Mol Neurobiol 2015 (PMID:26208701)
X Wang et al., Adv Sci (Weinh) 2023 (PMID:37211686)
/Western blotting assays. Another factor important in achieving optimal results is the degree of sensitivity of cells to the antibody-induced apoptosis. As an example, CD95 (Fas)-induced apoptosis of human Jurkat cell line by monoclonal antibody EOS
Dual- and Triple-Color Fluorospot
in several publications and reagents/kits for various cytokine combinations and species are commercially available. The most common protocol for fluorospot includes the use of biotinylated detection antibodies for one cytokine and an FITC-labeled detection antibody
Development of techniques for primary culture of C. elegans embryonic neurons
detailed studies of the interactions of growing axons with their substrates are possible, including antibody perturbation studies of cell-surface molecules, direct observation of growth cone behavior, and pharmacological manipulation of growing
技术资料暂无技术资料 索取技术资料











