相关产品推荐更多 >
万千商家帮你免费找货
0 人在求购买到急需产品
- 详细信息
- 文献和实验
- 技术资料
- 免疫原:
α-1-fetoprotein isolated from human cord serum.
- 亚型:
IgG
- 形态:
Liquid
- 保存条件:
Store as concentrated solution. Centrifuge briefly prior to opening vial. Store at 4ºC.
- 克隆性:
Polyclonal
- 标记物:
Unconjugated
- 适应物种:
Human
- 保质期:
12 months from the shipping date of the product.
- 抗原来源:
Human
- 目录编号:
GTX20920
- 级别:
Primary Antibodies
- 库存:
Available
- 供应商:
GeneTex
- 宿主:
Rabbit
- 应用范围:
IHC-P
- 浓度:
Batch dependent (Please refer to the vial label for the specific concentration.)
- 靶点:
Alpha fetoprotein / AFP
- 抗体英文名:
Alpha fetoprotein / AFP antibody (ready-to-use)
- 抗体名:
Alpha fetoprotein / AFP 抗体 (ready-to-use)
- 规格:
6 ml
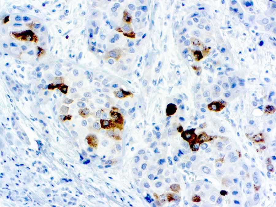
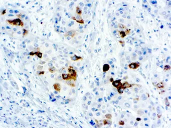
IHC-P analysis of human fetal liver tissue using GTX20920 Alpha fetoprotein / AFP antibody (ready-to-use).
风险提示:丁香通仅作为第三方平台,为商家信息发布提供平台空间。用户咨询产品时请注意保护个人信息及财产安全,合理判断,谨慎选购商品,商家和用户对交易行为负责。对于医疗器械类产品,请先查证核实企业经营资质和医疗器械产品注册证情况。
文献和实验Notes on Making Rat x Y3 Monoclonal Antibody Producing Hybridomas
throughout the procedure. d) Plate the entire fusion out in just 120 x 1ml cultures in 6 x 'Linbro' 24 well plates, using DMEM + 20% FCS (containing penniclin + streptomicin, Na pyruvate and glutamine). e) DO NOT use Isoves medium (IMDM) as this will encourage
癌、卵巢肿瘤、恶性畸胎瘤、胰腺癌、肠癌、肺癌等患者。 产甲胎蛋白的胃癌 (alpha-fetoprotein-producing gastric carcinoma, AFPGC) 是一种相对少见的胃癌 (GC),最早由 Bourreille 等人 [6] 于 1970 年提出,高 AFP 水平的胃癌被称为 AFPGC [7]。AFPGC 约占 GC 的 2.7~8%[8],也有报道占 GC 的 5.1%~15%[9]。AFPGC 是指经过病理或组织学检查确诊,伴有血清 AFP 升高,并可以排除肝炎
In situ hybridisation to alpha satellite sequences (chromosome specific)
solution and replace with mouse anti-biotin antibody diluted 1:100 in blocking solution for 40 minutes at 37C. We currently use DAKO antibody #M0743, 100-200m l per slide. (10) Wash with blocking solution for 10 minutes (11) Incubate with rabbit
技术资料暂无技术资料 索取技术资料





![GRB2 antibody [PAb (554)]](https://img1.dxycdn.com/2022/0328/936/6897781916407700453-14.jpg!wh200)
![SULF2 antibody [2B4], C-term](https://img1.dxycdn.com/2022/0329/856/3259270815554020453-14.jpg!wh200)
![beta 2 Microglobulin antibody [B2M/1118]](https://img1.dxycdn.com/2022/0328/785/7170337916800700453-14.jpg!wh200)



