相关产品推荐更多 >
万千商家帮你免费找货
0 人在求购买到急需产品
- 详细信息
- 文献和实验
- 技术资料
- 免疫原:
Recombinant fragment of human RNase L
- 亚型:
IgG
- 形态:
Liquid
- 保存条件:
Store as concentrated solution. Centrifuge briefly prior to opening vial. For short-term storage (1-2 weeks), store at 4ºC. For long-term storage, aliquot and store at -20ºC or below. Avoid multiple freeze-thaw cycles.
- 克隆性:
Monoclonal
- 标记物:
Unconjugated
- 保质期:
12 months from the shipping date of the product.
- 抗原来源:
Human
- 目录编号:
GTX638543
- 级别:
Primary Antibodies
- 库存:
Available
- 供应商:
GeneTex
- 宿主:
Rabbit
- 应用范围:
WB, ICC/IF
- 浓度:
1 mg/ml (Please refer to the vial label for the specific concentration.)
- 抗体英文名:
RNase L antibody [HL2340]
- 抗体名:
RNase L 抗体 [HL2340]
- 规格:
100 μl/25 μl
| 规格: | 100 μl | 产品价格: | ¥4000.0 |
|---|---|---|---|
| 规格: | 25 μl | 产品价格: | ¥1700.0 |
RNase L antibody [HL2340] detects RNase L protein at mitochondria by immunofluorescent analysis.
Sample: HeLa cells were fixed in ice-cold MeOH for 5 min.
Green: RNase L stained by RNase L antibody [HL2340] (GTX638543) diluted at 1:1000.
Red: alpha Tubulin, a cytoskeleton marker, stained by alpha Tubulin antibody [GT114] (GTX628802) diluted at 1:1000.
Blue: Fluoroshield with DAPI (GTX30920).
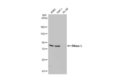
Various whole cell extracts (30 μg) were separated by 7.5% SDS-PAGE, and the membrane was blotted with RNase L antibody [HL2340] (GTX638543) diluted at 1:1000. The HRP-conjugated anti-rabbit IgG antibody (GTX213110-01) was used to detect the primary antibody.
风险提示:丁香通仅作为第三方平台,为商家信息发布提供平台空间。用户咨询产品时请注意保护个人信息及财产安全,合理判断,谨慎选购商品,商家和用户对交易行为负责。对于医疗器械类产品,请先查证核实企业经营资质和医疗器械产品注册证情况。
文献和实验The 25A/RNase L Pathway and Inhibition by RNase L Inhibitor (RLI)
Interferons (IFN) belong to a multigenic family of cytokines that activate the transcription of several genes through a signaling pathway involving cell-surface receptors (IFNAR), Janus kinases (JAK), and signal-transducing proteins (STAT
Preparation of Recombinant RNase Single-Chain Antibody Fusion Proteins
Selective cytotoxicity is an important goal of specific drug targeting. Toward this end, toxins isolated primarily from higher plants and bacteria have been coupled to monoclonal antibodies (MAbs) and evaluated for their clinical efficacy
-inducible 2–5A synthetases (OAS) in response to viral double-stranded RNA. 2–5A activates a uniquely regulated endoribonuclease, RNase L, resulting in the cleavage of single-stranded viral and cellular RNAs, thus suppressing viral replication. In addition
技术资料暂无技术资料 索取技术资料








![PDE6D antibody [HL1359]](https://img1.dxycdn.com/2022/0329/175/5701273999019020453-14.jpg!wh200)
![CD18 antibody [MEM-48] (PE)](https://img1.dxycdn.com/2022/0328/651/3429867560195500453-14.jpg!wh200)
