相关产品推荐更多 >
万千商家帮你免费找货
0 人在求购买到急需产品
- 详细信息
- 文献和实验
- 技术资料
- 免疫原:
A synthetic peptide made to a C-terminal portion of the rat SLC1A3 protein (between residues 500-542) [UniProt P24942]
- 亚型:
IgG
- 形态:
Liquid
- 保存条件:
Store as concentrated solution. Centrifuge briefly prior to opening vial. For short-term storage (1-2 weeks), store at 4ºC. For long-term storage, aliquot and store at -20ºC or below. Avoid multiple freeze-thaw cycles.
- 克隆性:
Polyclonal
- 标记物:
Unconjugated
- 适应物种:
Human, Mouse, Rat, Bovine
- 保质期:
12 months from the shipping date of the product.
- 抗原来源:
Rat
- 目录编号:
GTX20262
- 级别:
Primary Antibodies
- 库存:
Available
- 供应商:
GeneTex
- 宿主:
Rabbit
- 应用范围:
WB, ICC/IF, IHC-P, IHC-Fr, FACS, ELISA
- 浓度:
1 mg/ml (Please refer to the vial label for the specific concentration.)
- 靶点:
EAAT1
- 抗体英文名:
EAAT1 antibody
- 抗体名:
EAAT1 抗体
- 规格:
100 μl
ICC/IF analysis of Neuro2a cells using GTX20262 EAAT1 antibody.
Green : primary antibody
Red : Tubulin
Blue : DAPI
Dilution : 1:250
WB analysis of (1) human, (2) mouse, and (3) rat brain tissue lysate using GTX20262 EAAT1 antibody.
FACS (Intracellular staining) analysis of HEK293 cells using GTX20262 EAAT1 antibody.
Orange : Primary antibody
Blue : isotype control
Dilution : 1:500
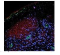
IHC-P analysis of mouse brain tissue using GTX20262 EAAT1 antibody.
风险提示:丁香通仅作为第三方平台,为商家信息发布提供平台空间。用户咨询产品时请注意保护个人信息及财产安全,合理判断,谨慎选购商品,商家和用户对交易行为负责。对于医疗器械类产品,请先查证核实企业经营资质和医疗器械产品注册证情况。
文献和实验Garcia-Bermudez J et al., Nat Cell Biol 2018 (PMID:29941933)
Hart ML et al., Elife 2023 (PMID:36883551)
Li RQ et al., Neural Regen Res 2018 (PMID:29926828)
技术资料暂无技术资料 索取技术资料







![GFAP antibody [GFAP/2076]](https://img1.dxycdn.com/2022/0328/133/5018532730533700453-14.jpg!wh200)


