相关产品推荐更多 >
万千商家帮你免费找货
0 人在求购买到急需产品
- 详细信息
- 文献和实验
- 技术资料
- 免疫原:
Recombinant protein corresponding to human 14-3-3 sigma protein.
- 亚型:
IgG1
- 形态:
Liquid
- 保存条件:
Store as concentrated solution. Centrifuge briefly prior to opening vial. For short-term storage (1-2 weeks), store at 4ºC. For long-term storage, aliquot and store at -20ºC or below. Avoid multiple freeze-thaw cycles.
- 克隆性:
Monoclonal
- 标记物:
Unconjugated
- 适应物种:
Human
- 保质期:
12 months from the shipping date of the product.
- 抗原来源:
Human
- 目录编号:
GTX14123
- 级别:
Primary Antibodies
- 库存:
Available
- 供应商:
GeneTex
- 宿主:
Mouse
- 应用范围:
WB, ICC/IF, IHC-P, IP
- 浓度:
Batch dependent (Please refer to the vial label for the specific concentration.)
- 靶点:
Recognizes human 14-3-3 sigma protein (26-30kD). Does not crossreact with other isoforms of 14-3-3.
- 抗体英文名:
14-3-3 sigma antibody [1.N.6]
- 抗体名:
14-3-3 sigma 抗体 [1.N.6]
- 规格:
250 μl
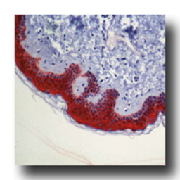
IHC-P analysis of human skin tissue using GTX14123 14-3-3 sigma antibody [1.N.6].
WB analysis of various cell lysates using GTX14123 14-3-3 sigma antibody [1.N.6].
风险提示:丁香通仅作为第三方平台,为商家信息发布提供平台空间。用户咨询产品时请注意保护个人信息及财产安全,合理判断,谨慎选购商品,商家和用户对交易行为负责。对于医疗器械类产品,请先查证核实企业经营资质和医疗器械产品注册证情况。
文献和实验Kudo I et al., Oncol Lett 2017 (PMID:29085461)
技术资料暂无技术资料 索取技术资料


![14-3-3 sigma antibody [1.N.6]](https://img1.dxycdn.com/2022/0329/108/4351320401924020453-14.jpg)




![alpha Actinin 2 antibody [GT1253]](https://img1.dxycdn.com/2022/0329/451/7135795322716020453-14.jpg!wh200)
![PSAP antibody [4D5F4]](https://img1.dxycdn.com/2022/0328/716/6587004547903500453-14.jpg!wh200)

