相关产品推荐更多 >
万千商家帮你免费找货
0 人在求购买到急需产品
- 详细信息
- 文献和实验
- 技术资料
- 免疫原:
Synthetic 16 amino acid peptide from 3rd cytoplasmic domain of human LTB4R2.
- 亚型:
IgG
- 形态:
Liquid
- 保存条件:
Store as concentrated solution. Centrifuge briefly prior to opening vial. For short-term storage (1-2 weeks), store at 4ºC. For long-term storage, aliquot and store at -20ºC or below. Avoid multiple freeze-thaw cycles.
- 克隆性:
Polyclonal
- 标记物:
Unconjugated
- 适应物种:
Human, Monkey
- 保质期:
12 months from the shipping date of the product.
- 抗原来源:
Human
- 目录编号:
GTX13348
- 级别:
Primary Antibodies
- 库存:
Available
- 供应商:
GeneTex
- 宿主:
Rabbit
- 应用范围:
IHC-P, IHC-Fr, FACS
- 浓度:
1 mg/ml (Please refer to the vial label for the specific concentration.)
- 靶点:
Leukotriene B4 Receptor 2
- 抗体英文名:
Leukotriene B4 Receptor 2 antibody
- 抗体名:
Leukotriene B4 Receptor 2 抗体
- 规格:
25 μg
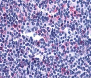
IHC-P analysis of human tonsil tissue using GTX13348 Leukotriene B4 Receptor 2 antibody.
Antigen retrieval : Heat-induced antigen retrieval
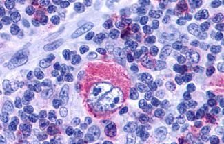
IHC-P analysis of human lymph node, hodgkins lymphoma tissue using GTX13348 Leukotriene B4 Receptor 2 antibody.
Antigen retrieval : Heat-induced antigen retrieval
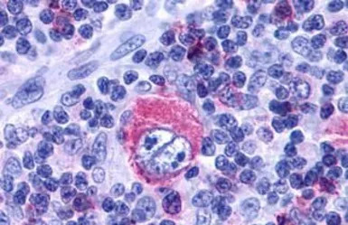
IHC-P analysis of human colon, carcinoma and leukocytes tissue using GTX13348 Leukotriene B4 Receptor 2 antibody.
Antigen retrieval : Heat-induced antigen retrieval
风险提示:丁香通仅作为第三方平台,为商家信息发布提供平台空间。用户咨询产品时请注意保护个人信息及财产安全,合理判断,谨慎选购商品,商家和用户对交易行为负责。对于医疗器械类产品,请先查证核实企业经营资质和医疗器械产品注册证情况。
文献和实验Imaging B-Cell Receptor Signaling by Single-Molecule Techniques
B-cell activation initiates antibody responses against pathogens. Recent imaging of B cells in vivo shows that B cells move rapidly through lymphoid tissues to search for antigens captured on the surfaces of antigen-presenting cells
Analysis of B-Cell Signaling Using DT40 B-Cell Line
A chicken DT40 B-cell line provides an excellent model system for the analysis of the function of genes related to B-cell antigen receptor (BCR) signaling. Crosslinking of BCR by �-chain-specific antibody stimulates DT40 cells to undergo
One of the major challenges in human B cell immunology field has been the objective to establish stable monoclonal cells lines that express the B cell receptor (BCR) on their cell surface and secrete antibodies. Such a system is extremely
技术资料暂无技术资料 索取技术资料





![BMAL1 antibody [N1N3]](https://img1.dxycdn.com/2022/0328/155/0000576251185200453-14.jpg!wh200)
![PAF49 antibody [GT1964]](https://img1.dxycdn.com/2022/0329/070/2785044621275020453-14.jpg!wh200)

![CD3 epsilon antibody [C3e/1931]](https://img1.dxycdn.com/2022/0328/374/4537218278192700453-14.jpg!wh200)
![Phosphotyrosine antibody [GT0021]](https://img1.dxycdn.com/2022/0329/933/7767685556585020453-14.jpg!wh200)

