相关产品推荐更多 >
万千商家帮你免费找货
0 人在求购买到急需产品
- 详细信息
- 文献和实验
- 技术资料
- 免疫原:
Recombinant protein encompassing a sequence within the center region of human Transcription Termination Factor 1. The exact sequence is proprietary.
- 亚型:
IgG
- 形态:
Liquid
- 保存条件:
Store as concentrated solution. Centrifuge briefly prior to opening vial. For short-term storage (1-2 weeks), store at 4ºC. For long-term storage, aliquot and store at -20ºC or below. Avoid multiple freeze-thaw cycles.
- 克隆性:
Polyclonal
- 标记物:
Unconjugated
- 适应物种:
Human
- 保质期:
12 months from the shipping date of the product.
- 抗原来源:
Human
- 目录编号:
GTX129804
- 级别:
Primary Antibodies
- 库存:
Available
- 供应商:
GeneTex
- 宿主:
Rabbit
- 应用范围:
WB, IHC-P, IP
- 浓度:
1 mg/ml (Please refer to the vial label for the specific concentration.)
- 靶点:
Transcription Termination Factor 1
- 抗体英文名:
Transcription Termination Factor 1 antibody
- 抗体名:
Transcription Termination Factor 1 抗体
- 规格:
100 μl/25 μl
| 规格: | 100 μl | 产品价格: | ¥4000.0 |
|---|---|---|---|
| 规格: | 25 μl | 产品价格: | ¥1700.0 |
TTF1 antibody detects TTF1 protein by western blot analysis. 293T whole cell extracts and nuclear extracts (30 μg) were separated by 5% SDS-PAGE, and the membrane was blotted with TTF1 antibody (GTX129804) diluted by 1:1000 and developed with Trident femto Western HRP Substrate (GTX14698).
Immunoprecipitation of Transcription Termination Factor 1 protein from 293T whole cell extracts using 5 μg of Transcription Termination Factor 1 antibody (GTX129804).
Western blot analysis was performed using Transcription Termination Factor 1 antibody (GTX129804) diluted at 1:500.
EasyBlot anti-Rabbit IgG (GTX221666-01) was used as a secondary reagent.
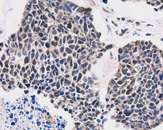
Transcription Termination Factor 1 antibody detects Transcription Termination Factor 1 protein at nucleus in human small cell lung cancer by immunohistochemical analysis.
Sample: Paraffin-embedded human small cell lung cancer.
Transcription Termination Factor 1 antibody (GTX129804) diluted at 1:500.
Antigen Retrieval: Citrate buffer, pH 6.0, 15 min
风险提示:丁香通仅作为第三方平台,为商家信息发布提供平台空间。用户咨询产品时请注意保护个人信息及财产安全,合理判断,谨慎选购商品,商家和用户对交易行为负责。对于医疗器械类产品,请先查证核实企业经营资质和医疗器械产品注册证情况。
文献和实验Methods for Studying Mitochondrial Transcription Termination with Isolated Components
the transcription termination properties of the sea urchin factor mtDBP, however, it is applicable to the study of transcription termination in a variety of organisms, provided that the pure mtRNAP and the transcription termination factor are available.
Generation of Poly(ADP-ribosyl)ation Deficient Mutants of the Transcription Factor, CTCF
to produce such mutants, demonstrated by the example of CTCF, a transcription factor. To achieve this in our study, the protein domain modified by PARylation was mapped and the amino acids, which can be potentially PARylated, selected. Mutations
Investigation of transcription factor activity in animal tissue during the early stage of cancer development can be difficult because of a low number of affected cells in a background of a large number of normal cells. We have used
技术资料暂无技术资料 索取技术资料






![Synaptophysin antibody [SP11]](https://img1.dxycdn.com/2022/0328/581/5122487160655500453-14.jpg!wh200)




