相关产品推荐更多 >
万千商家帮你免费找货
0 人在求购买到急需产品
- 详细信息
- 文献和实验
- 技术资料
- 免疫原:
Carrier-protein conjugated synthetic peptide surrounding phospho Ser1177 of human eNOS. The exact sequence is proprietary.
- 亚型:
IgG
- 形态:
Liquid
- 保存条件:
Store as concentrated solution. Centrifuge briefly prior to opening vial. For short-term storage (1-2 weeks), store at 4ºC. For long-term storage, aliquot and store at -20ºC or below. Avoid multiple freeze-thaw cycles.
- 克隆性:
Polyclonal
- 标记物:
Unconjugated
- 适应物种:
Human, Mouse, Rat
- 保质期:
12 months from the shipping date of the product.
- 抗原来源:
Human
- 目录编号:
GTX129058
- 级别:
Primary Antibodies
- 库存:
Available
- 供应商:
GeneTex
- 宿主:
Rabbit
- 应用范围:
WB, ICC/IF, IHC-P
- 浓度:
0.71 mg/ml (Please refer to the vial label for the specific concentration.)
- 靶点:
eNOS (phospho Ser1177)
- 抗体英文名:
eNOS (phospho Ser1177) antibody
- 抗体名:
eNOS (phospho Ser1177) 抗体
- 规格:
100 μl/25 μl
| 规格: | 100 μl | 产品价格: | ¥4000.0 |
|---|---|---|---|
| 规格: | 25 μl | 产品价格: | ¥1700.0 |
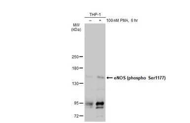
Untreated (–) and treated (+) THP-1 whole cell extracts (30 μg) were separated by 5% SDS-PAGE, and the membrane was blotted with eNOS (phospho Ser1177) antibody (GTX129058) diluted at 1:500. The HRP-conjugated anti-rabbit IgG antibody (GTX213110-01) was used to detect the primary antibody.
eNOS (phospho Ser1177) antibody detects eNOS (phospho Ser1177) protein at cytoplasm by immunohistochemical analysis.
Sample: Paraffin-embedded mouse duodenum.
eNOS (phospho Ser1177) stained by eNOS (phospho Ser1177) antibody (GTX129058) diluted at 1:500.
Antigen Retrieval: Citrate buffer, pH 6.0, 15 min
eNOS (phospho Ser1177) antibody detects eNOS (phospho Ser1177) protein at cell membrane and cytoplasm by immunohistochemical analysis.
Sample: Paraffin-embedded mouse kidney.
eNOS (phospho Ser1177) stained by eNOS (phospho Ser1177) antibody (GTX129058) diluted at 1:500.
Antigen Retrieval: Citrate buffer, pH 6.0, 15 min
eNOS (phospho Ser1177) antibody detects eNOS (phospho Ser1177) protein at cytoplasm by immunohistochemical analysis.
Sample: Paraffin-embedded rat kidney.
eNOS (phospho Ser1177) stained by eNOS (phospho Ser1177) antibody (GTX129058) diluted at 1:500.
Antigen Retrieval: Citrate buffer, pH 6.0, 15 min
Various whole cell extracts (30 μg) were separated by 5% SDS-PAGE, and the membrane was blotted with eNOS (phospho Ser1177) antibody (GTX129058) diluted at 1:500. The HRP-conjugated anti-rabbit IgG antibody (GTX213110-01) was used to detect the primary antibody.
Whole cell extract (50 μg) was separated by 5% SDS-PAGE, and the membrane was blotted with eNOS (phospho Ser1177) antibody (GTX129058) diluted at 1:1000. The HRP-conjugated anti-rabbit IgG antibody (GTX213110-01) was used to detect the primary antibody.
eNOS (phospho Ser1177) antibody detects eNOS (phospho Ser1177) protein at cell membrane by immunofluorescent analysis.
Sample: THP-1 cells were fixed in 4% PFA at RT for 15 min.
Green: eNOS (phospho Ser1177) stained by eNOS (phospho Ser1177) antibody (GTX129058) diluted at 1:500.
Blue: Fluoroshield with DAPI (GTX30920).
风险提示:丁香通仅作为第三方平台,为商家信息发布提供平台空间。用户咨询产品时请注意保护个人信息及财产安全,合理判断,谨慎选购商品,商家和用户对交易行为负责。对于医疗器械类产品,请先查证核实企业经营资质和医疗器械产品注册证情况。
文献和实验Garc?a-Arroyo FE et al., Biomolecules 2019 (PMID:31614639)
Fan Y et al., BMC Complement Altern Med 2019 (PMID:31805910)
Yamada T et al., Circ J 2018 (PMID:30393270)
Papinska AM et al., Oxid Med Cell Longev 2018 (PMID:30425780)
Chang TT et al., Biomedicines 2022 (PMID:36009510)
Using Phospho‐Motif Antibodies to Determine Kinase Substrates
comprising both the phosphorylated residue and the surrounding residues that determine kinase specificity, with degenerate residues taking up the remaining positions. Currently, several categories of phospho?motif antibody are commercially available
Optimized Protocol to Make Phospho-Specific Antibodies that Work
, not simply its level of expression. In this review, we will discuss both the design of the phosphopeptide immunogen and immunization. The affinity purification of the phospho-specific antibody as well as the methods most suitable for characterizing
Absorption Control in Immunohistochemistry Using Phospho-Peptides Immobilized on Magnetic Beads
neutralization of phospho-specific antibodies with phospho-peptides immobilized on magnetic beads. This technique allows for sequestration of antibody–peptide complex from the incubation solution, minimizing the risk of formation of unblocked antibodies capable
技术资料暂无技术资料 索取技术资料








![Strep epitope Tag antibody [GT517]](https://img1.dxycdn.com/2022/0329/210/2610247523895020453-14.jpg!wh200)
![CD69 antibody [FN50] (FITC)](https://img1.dxycdn.com/2022/0328/848/8516425195244400453-14.jpg!wh200)

