相关产品推荐更多 >
万千商家帮你免费找货
0 人在求购买到急需产品
- 详细信息
- 文献和实验
- 技术资料
- 免疫原:
The immunogen used to generate this antibody corresponds to Ubiquitin.
- 亚型:
IgG
- 形态:
Liquid
- 保存条件:
Store as concentrated solution. Centrifuge briefly prior to opening vial. For short-term storage (1-2 weeks), store at 4ºC. For long-term storage, aliquot and store at -20ºC or below. Avoid multiple freeze-thaw cycles.
- 克隆性:
Polyclonal
- 标记物:
Unconjugated
- 适应物种:
Human, Mouse, Rat
- 保质期:
12 months from the shipping date of the product.
- 目录编号:
GTX128826
- 级别:
Primary Antibodies
- 库存:
Available
- 供应商:
GeneTex
- 宿主:
Rabbit
- 应用范围:
WB
- 浓度:
0.68 mg/ml (Please refer to the vial label for the specific concentration.)
- 靶点:
Ubiquitin
- 抗体英文名:
Ubiquitin antibody
- 抗体名:
Ubiquitin 抗体
- 规格:
100 μl/25 μl
| 规格: | 100 μl | 产品价格: | ¥4000.0 |
|---|---|---|---|
| 规格: | 25 μl | 产品价格: | ¥1700.0 |
293T whole cell extracts and 293T exosome extract (2.6 μg) were separated by 15% SDS-PAGE, and the membrane was blotted with Ubiquitin antibody (GTX128826) diluted at 1:250. The HRP-conjugated anti-rabbit IgG antibody (GTX213110-01) was used to detect the primary antibody, and the signal was developed with Trident ECL plus-Enhanced.
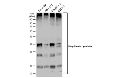
Various whole cell extracts (30 μg) were separated by 12% SDS-PAGE, and the membrane was blotted with Ubiquitin antibody (GTX128826) diluted at 1:1000. The HRP-conjugated anti-rabbit IgG antibody (GTX213110-01) was used to detect the primary antibody.
Various whole cell extracts (30 μg) were separated by 12% SDS-PAGE, and the membrane was blotted with Ubiquitin antibody (GTX128826) diluted at 1:1000. The HRP-conjugated anti-rabbit IgG antibody (GTX213110-01) was used to detect the primary antibody.
Untreated (–) and treated (+) HeLa whole cell extracts (30 μg) were separated by 12% SDS-PAGE, and the membranes were blotted with Ubiquitin antibody (GTX128826) diluted at 1:500 and competitor's antibody (sc-53509) diluted at 1:500. The HRP-conjugated anti-rabbit IgG antibody (GTX213110-01) was used to detect the primary antibody.
*Competitor's antibody is not affiliated with GeneTex and does not endorse this product.
Untreated (–) and treated (+) HeLa whole cell extracts (30 μg) were separated by 12% SDS-PAGE, and the membrane was blotted with Ubiquitin antibody (GTX128826) diluted at 1:500. The HRP-conjugated anti-rabbit IgG antibody (GTX213110-01) was used to detect the primary antibody.
风险提示:丁香通仅作为第三方平台,为商家信息发布提供平台空间。用户咨询产品时请注意保护个人信息及财产安全,合理判断,谨慎选购商品,商家和用户对交易行为负责。对于医疗器械类产品,请先查证核实企业经营资质和医疗器械产品注册证情况。
文献和实验Hsu HY et al., Oncotarget 2014 (PMID:25149540)
Ko CY et al., Mol Neurobiol 2017 (PMID:28478507)
Tsao SM et al., Sci Rep 2016 (PMID:27830743)
d'Angelo M et al., Cells 2023 (PMID:36899865)
Studies of the Ubiquitin Proteasome System
) 6% to 8% SDS‐PAGE minigels (unit 6.1 ) Anti‐ubiquitin antibody ( protocol 31 ; for immunoblot detection) Boiling water bath Additional reagents and equipment for SDS
Several important signaling processes depend on the tagging of cellular proteins with “polyubiquitin chains”—ubiquitin polymers whose building blocks are connected by isopeptide bonds between G76 of one ubiquitin and a specific lysine residue
Measuring Ubiquitin Conjugation in Cells
Protein ubiquitination is crucial to many diverse and critical functions of cells. Although it has been long known that conjugation of ubiquitin to proteins results in their destruction by the proteasome, recently it has become apparent
技术资料暂无技术资料 索取技术资料






![p21 Cip1 antibody [DCS-60.2]](https://img1.dxycdn.com/2022/0328/301/2403364421770700453-14.jpg!wh200)

![Integrin beta 4 antibody [10B10D5]](https://img1.dxycdn.com/2022/0328/024/1102207449533500453-14.jpg!wh200)


