相关产品推荐更多 >
万千商家帮你免费找货
0 人在求购买到急需产品
- 详细信息
- 文献和实验
- 技术资料
- 免疫原:
Recombinant full-length human p21 protein
- 亚型:
IgG2a
- 形态:
Liquid
- 保存条件:
Store as concentrated solution. Centrifuge briefly prior to opening vial. For short-term storage (1-2 weeks), store at 4ºC. For long-term storage, aliquot and store at -20ºC or below. Avoid multiple freeze-thaw cycles.
- 克隆性:
Monoclonal
- 标记物:
Unconjugated
- 适应物种:
Human
- 保质期:
12 months from the shipping date of the product.
- 抗原来源:
Human
- 目录编号:
GTX34927
- 级别:
Primary Antibodies
- 库存:
Available
- 供应商:
GeneTex
- 宿主:
Mouse
- 应用范围:
WB, ICC/IF, IHC-P, FACS
- 浓度:
0.2 mg/ml (Please refer to the vial label for the specific concentration.)
- 靶点:
This MAb recognizes a 21kDa protein, identified as the p21WAF1 tumor suppressor protein. This MAb is highly specific to p21 and shows no cross-reaction with other closely related mitotic inhibitors.,We do not recommend use of this product for Mouse,Rat.
- 抗体英文名:
p21 Cip1 antibody [DCS-60.2]
- 抗体名:
p21 Cip1 抗体 [DCS-60.2]
- 规格:
100 μg
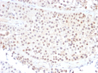
IHC-P analysis of human bladder carcinoma tissue using GTX34927 p21 Cip1 antibody [DCS-60.2].
WB analysis of HeLa cell lysate using GTX34927 p21 Cip1 antibody [DCS-60.2].
风险提示:丁香通仅作为第三方平台,为商家信息发布提供平台空间。用户咨询产品时请注意保护个人信息及财产安全,合理判断,谨慎选购商品,商家和用户对交易行为负责。对于医疗器械类产品,请先查证核实企业经营资质和医疗器械产品注册证情况。
文献和实验Analysis of p21CDKN1A Recruitment to DNA Excision Repair Foci in the UV-Induced DNA Damage Response
The cyclin-dependent kinase (CDK) inhibitor p21CDKN1A (also known as p21waf1/cip1 ) is a well known player of the G1 and G2 phase cell cycle checkpoints, which are activated in response to DNA damage. In addition, p21 interacts directly
to 0.05, and zymolyase (100T) to 60 ug/ml. Incubate 1 hour at 37oC. Pellet spheroplasts as above. Resuspend in 10 mls Solution A and pellet again. Combine the suspension of whole cells with the spheroplasts and pellet as above. Resuspend in 10
-induced responses, including a down-regulation of the cyclin-dependent kinase (Cdk2) inhibitors p21CIP1 and p27KIP1 , while attachment to P-L-L did not. We conclude that engagement of the FN-receptor integrin α5β1 induces integrin signaling regulating
技术资料暂无技术资料 索取技术资料





![Estrogen Receptor alpha antibody [6F11]](https://img1.dxycdn.com/2022/0328/844/7476824120174500453-14.jpg!wh200)

![Adenylate kinase 4 antibody [N1C3]](https://img1.dxycdn.com/2022/0328/647/7566729780155200453-14.jpg!wh200)



