相关产品推荐更多 >
万千商家帮你免费找货
0 人在求购买到急需产品
- 详细信息
- 文献和实验
- 技术资料
- 免疫原:
Carrier-protein conjugated synthetic peptide surrounding acetyl Lys5/Lys8/Lys12/Lys16 of human Histone H4. The exact sequence is proprietary.
- 亚型:
IgG
- 形态:
Liquid
- 保存条件:
Store as concentrated solution. Centrifuge briefly prior to opening vial. For short-term storage (1-2 weeks), store at 4ºC. For long-term storage, aliquot and store at -20ºC or below. Avoid multiple freeze-thaw cycles.
- 克隆性:
Polyclonal
- 标记物:
Unconjugated
- 适应物种:
Human, Mouse, Rat
- 保质期:
12 months from the shipping date of the product.
- 抗原来源:
Human
- 目录编号:
GTX122653
- 级别:
Primary Antibodies
- 库存:
Available
- 供应商:
GeneTex
- 宿主:
Rabbit
- 应用范围:
WB, ICC/IF, IHC-P, Dot
- 浓度:
1 mg/ml (Please refer to the vial label for the specific concentration.)
- 靶点:
Histone H4K5K8K12K16ac (acetyl Lys5/Lys8/Lys12/Lys16)
- 抗体英文名:
Histone H4K5K8K12K16ac (acetyl Lys5/Lys8/Lys12/Lys16) antibody
- 抗体名:
Histone H4K5K8K12K16ac (acetyl Lys5/Lys8/Lys12/Lys16) 抗体
- 规格:
100 μl/25 μl
| 规格: | 100 μl | 产品价格: | ¥4000.0 |
|---|---|---|---|
| 规格: | 25 μl | 产品价格: | ¥1700.0 |
Dotblot analysis of anti-Histone H4K5K8K12K16ac (acetyl Lys5/Lys8/Lys12/Lys16) antibody with peptide samples.
Peptide samples (0.1 μg) were spotted onto positively charged nylon membrane and blotted with Histone H4K5K8K12K16ac (acetyl Lys5/Lys8/Lys12/Lys16) antibody (GTX122653) at different dilution as indicated.
A: Peptide samples of Histone H4K5K8K12K16ac (acetyl Lys5/Lys8/Lys12/Lys16)
B: Peptide samples of Histone H4
Sample (30 ug of whole cell lysate)
A: PC-12
15% SDS PAGE
GTX122653 diluted at 1:10000
Sample (30 ug of whole cell lysate)
A: HeLa
15% SDS PAGE
GTX122653 diluted at 1:10000
Histone H4K5K8K12K16ac (acetyl Lys5/Lys8/Lys12/Lys16) antibody detects Histone H4K5K8K12K16ac (acetyl Lys5/Lys8/Lys12/Lys16) protein at nucleus by immunofluorescent analysis.
Sample: HeLa cells were fixed in 4% PFA at RT for 15 min.
Green: Histone H4K5K8K12K16ac (acetyl Lys5/Lys8/Lys12/Lys16) protein stained by Histone H4K5K8K12K16ac (acetyl Lys5/Lys8/Lys12/Lys16) antibody (GTX122653) diluted at 1:500.
Red: phalloidin, a cytoskeleton marker, diluted at 1:200.
Scale bar = 10 μm.
Sample (30 ug of whole cell lysate)
A: NIH-3T3
B: BCL-1
15% SDS PAGE
GTX122653 diluted at 1:10000
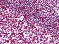
Immunohistochemical analysis of paraffin-embedded human breast cancer, using Histone H4K5K8K12K16ac (acetyl Lys5/Lys8/Lys12/Lys16)(GTX122653) antibody at 1:500 dilution.
Antigen Retrieval: Trilogy™ (EDTA based, pH 8.0) buffer, 15min
风险提示:丁香通仅作为第三方平台,为商家信息发布提供平台空间。用户咨询产品时请注意保护个人信息及财产安全,合理判断,谨慎选购商品,商家和用户对交易行为负责。对于医疗器械类产品,请先查证核实企业经营资质和医疗器械产品注册证情况。
文献和实验Hasebe T et al., Gen Comp Endocrinol 2020 (PMID:32084349)
Tsai CH et al., Biochim Biophys Acta Mol Cell Res 2019 (PMID:31672612)
Bai B et al., Birth Defects Res 2018 (PMID:30114346)
Liu MK et al., Int J Mol Sci 2016 (PMID:27314325)
Histone Deacetylase Activity Assay
Histone deacetylases (HDACs) are enzymes that catalyze the removal of acetyl groups from the ɛ-amino groups of conserved lysine residues in the amino terminal tail of histones. In humans, there are 18 potential deacetylase enzymes
by vortexing every 10 min. Stop reaction by adding 15 µL of 4x sample buffer. Heat on 95°C block for 5 min. (Can be stored at 4°C overnight) Spin down beads and load supernatant on a 12% SDS acrylamide gel. Run off the dye front (175 volts x
Analysis of RB Action in DNA Damage Checkpoint Response
checkpoint response: (1) transcriptional repression of E2F-regulated genes (cyclin A reporter assay); (2) induction of cell cycle arrest (Brd-U incorporation assay); and (3) inhibition of DNA double-strand break accumulation (phosphorylated-histone H2A.X
技术资料暂无技术资料 索取技术资料









![ER81 antibody [1C8B6]](https://img1.dxycdn.com/2022/0328/838/2155735514357500453-14.jpg!wh200)

