相关产品推荐更多 >
万千商家帮你免费找货
0 人在求购买到急需产品
- 详细信息
- 文献和实验
- 技术资料
- 免疫原:
A full-length human IKKb recombinant protein was used to immunize mice (NP_001547).
- 亚型:
IgG1
- 形态:
Liquid
- 保存条件:
Store as concentrated solution. Centrifuge briefly prior to opening vial. For short-term storage (1-2 weeks), store at 4ºC. For long-term storage, aliquot and store at -20ºC or below. Avoid multiple freeze-thaw cycles.
- 克隆性:
Monoclonal
- 标记物:
Unconjugated
- 适应物种:
Human, Mouse
- 保质期:
12 months from the shipping date of the product.
- 抗原来源:
Human
- 目录编号:
GTX12139
- 级别:
Primary Antibodies
- 库存:
Available
- 供应商:
GeneTex
- 宿主:
Mouse
- 应用范围:
WB, ICC/IF, IHC-P, FACS, IP, MS
- 浓度:
1 mg/ml (Please refer to the vial label for the specific concentration.)
- 靶点:
IKK beta
- 抗体英文名:
IKK beta antibody [10AG2]
- 抗体名:
IKK beta 抗体 [10AG2]
- 规格:
50 μg
FACS analysis of HEK293 cells using GTX12139 IKK beta antibody [10AG2].
Red : primary antibody
Green : isotype control
Antibody amount : 0.1μg
WB analysis of (A) Daudi, B) HeLa, and C) NIH3T3 cell lysate using GTX12139 IKK beta antibody [10AG2].
Dilution : 2 μg/ml
FACS (Intracellular staining) analysis of HeLa cells using GTX12139 IKK beta antibody [10AG2].
Blue : Primary antibody
Orange : isotype control
Fixation : 4% PFA
Permibilization : 0.1% saponin
Antibody amount : 1μg/100 μl buffer
FACS (Intracellular staining) analysis of Jurkat cells using GTX12139 IKK beta antibody [10AG2].
Blue : Primary antibody
Orange : isotype control
Fixation : 4% PFA
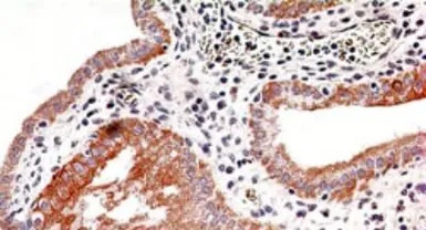
IHC-P analysis of human gallbladder tissue using GTX12139 IKK beta antibody [10AG2].
Dilution : 5 μg/ml
Antigen retrieval : 10 mM sodium citrate buffer, pH 6.0
FACS (Intracellular staining) analysis of HEK293 cells using GTX12139 IKK beta antibody [10AG2].
Red : primary antibody
Green : isotype control
Antibody amount : 0.5μg
WB analysis of HeLa cell lysate using GTX12139 IKK beta antibody [10AG2].
风险提示:丁香通仅作为第三方平台,为商家信息发布提供平台空间。用户咨询产品时请注意保护个人信息及财产安全,合理判断,谨慎选购商品,商家和用户对交易行为负责。对于医疗器械类产品,请先查证核实企业经营资质和医疗器械产品注册证情况。
文献和实验Anticardiolipin Antibody and Anti-beta 2 Glycoprotein I Antibody Assays
) antibodies and anti-beta 2 glycoprotein I (β2-GPI) antibodies. Other autoantibodies, such as those directed against anionic phospholipids, can also be assayed; however they are not of clinical significance. Participation in a quality assurance
【求助】细胞里的beta catenin 好检测吗?? 用 western blot
ug左右),8% SDS-PAGE就能够分出来,另外在检测beta catenin 的同时一般还要检测磷酸化的beta catenin 以及beta catenin 激活后的转位,这是可能会用到共聚焦。 michaelhwp10 抗体要好,这很重要。 hutanyu 学习了 duanrongandliao 定量还是要western blot 本文由丁香园论坛提供,想了解更多
by the alternative (left) and the classical pathway (right). Signaling through TNFR, IL-1R, or Toll-like receptors (TLR) activates the classical NF-κB pathway involving predominantly the β and γ subunits of the IKK complex. Nuclear translocation
技术资料暂无技术资料 索取技术资料





![CD27 antibody [LT27] (Azide free)](https://img1.dxycdn.com/2022/0329/392/8956385722256020453-14.jpg!wh200)
![Cytokeratin 7 antibody [K72.7]](https://img1.dxycdn.com/2022/0328/373/7024887471430700453-14.jpg!wh200)




