相关产品推荐更多 >
万千商家帮你免费找货
0 人在求购买到急需产品
- 详细信息
- 文献和实验
- 技术资料
- 免疫原:
A synthetic peptide corresponding to a sequence at the N-terminus of rat SLC6A4 (7-24aa NSQKVLSECKDREDCQEN), different from the related mouse sequence by one amino acid.
- 亚型:
IgG
- 形态:
Liquid
- 保存条件:
Store as concentrated solution. Centrifuge briefly prior to opening vial. For short-term storage (1-2 weeks), store at 4ºC. For long-term storage, aliquot and store at -20ºC or below. Avoid multiple freeze-thaw cycles.
- 克隆性:
Polyclonal
- 标记物:
Unconjugated
- 适应物种:
Mouse, Rat
- 保质期:
12 months from the shipping date of the product.
- 抗原来源:
Rat
- 目录编号:
GTX12057
- 级别:
Primary Antibodies
- 库存:
Available
- 供应商:
GeneTex
- 宿主:
Rabbit
- 应用范围:
WB, IHC-P
- 浓度:
500 μg/ml (Please refer to the vial label for the specific concentration.)
- 靶点:
Serotonin Transporter
- 抗体英文名:
Serotonin Transporter antibody
- 抗体名:
Serotonin Transporter 抗体
- 规格:
100 μg
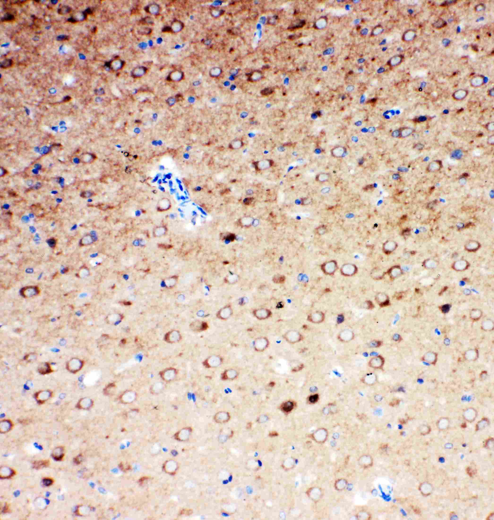
IHC-P analysis of rat brain tissue using GTX12057 Serotonin Transporter antibody.
WB analysis of rat brain tissue lysate using GTX12057 Serotonin Transporter antibody.
风险提示:丁香通仅作为第三方平台,为商家信息发布提供平台空间。用户咨询产品时请注意保护个人信息及财产安全,合理判断,谨慎选购商品,商家和用户对交易行为负责。对于医疗器械类产品,请先查证核实企业经营资质和医疗器械产品注册证情况。
文献和实验Liu M et al., Biomed Pharmacother 2019 (PMID:31054510)
上海西唐生物科技有限公司 021-55229872, 65333639 www.westang.com 人五羟色胺 (Serotonin)ELISA 试剂盒 ( 用于血清、血浆、细胞培养上清液和其它生物体液内 ) 原理 本实验采用双抗体夹心 ABC-ELISA 法。用抗人 Serotonin 单抗包被于酶标板上,标准品和样品中的 Serotonin与单抗结合,加入
上海西唐生物科技有限公司 021-55229872, 65333639 www.westang.com 大鼠五羟色胺 (Serotonin)ELISA 试剂盒 ( 用于血清、血浆、细胞培养上清液和其它生物体液内 ) 原理 本实验采用双抗体夹心 ABC-ELISA 法。用抗大鼠 Serotonin 单抗包被于酶标板上,标准品和样品中的 Serotonin 与单抗结合,加入生物素化的抗大
上海西唐生物科技有限公司 021-55229872, 65333639 www.westang.com 小鼠五羟色胺 (Serotonin)ELISA 试剂盒 ( 用于血清、血浆、细胞培养上清液和其它生物体液内 ) 原理 本实验采用双抗体夹心 ABC-ELISA 法。用抗小鼠 Serotonin 单抗包被于酶标板上,标准品和样品中的 Serotonin与单抗结合
技术资料暂无技术资料 索取技术资料






![GUCY1A3 antibody [3G6B2]](https://img1.dxycdn.com/2022/0328/303/5512863040413500453-14.jpg!wh200)




