相关产品推荐更多 >
万千商家帮你免费找货
0 人在求购买到急需产品
- 详细信息
- 文献和实验
- 技术资料
- 免疫原:
This antibody was developed against a peptide corresponding to a portion of amino acid residues 1-50 of human dNp73. In mouse, alanine at position 8 is replaced by methionine.
- 亚型:
IgG1, Kappa
- 形态:
Liquid
- 保存条件:
Store as concentrated solution. Centrifuge briefly prior to opening vial. For short-term storage (1-2 weeks), store at 4℃. For long-term storage, aliquot and store at -20℃ or below. Avoid multiple freeze-thaw cycles.
- 克隆性:
Monoclonal
- 标记物:
Unconjugated
- 适应物种:
Human, Mouse, Rat
- 保质期:
12 months from the shipping date of the product.
- 抗原来源:
Human
- 目录编号:
GTX11997
- 级别:
Primary Antibodies
- 库存:
Available
- 供应商:
GeneTex
- 宿主:
Mouse
- 应用范围:
WB, ICC/IF, IHC-P, IHC-Fr
- 浓度:
1 mg/ml(Please refer to the vial label for the specific concentration.)
- 靶点:
p73 delta N
- 抗体英文名:
p73 delta N antibody [38C674.2]
- 抗体名:
p73 delta N 抗体 [38C674.2]
- 规格:
50 μg
IHC-P analysis of human lung squamous cell carcinoma tissue using GTX11997 p73 delta N antibody [38C674.2].
Dilution : 5 μg/ml
ICC/IF analysis of HeLa cells using GTX11997 p73 delta N antibody [38C674.2].
Green : primary antibody
Red : Actin
Blue : DAPI
Dilution : 1:50
Fixation : 10% formalin
Permibilization : 0.5% Triton-X100
WB analysis of (A) p73 delta N overexpressing (B) HeLa, and (C) NIH-3T3 cell lysate using GTX11997 p73 delta N antibody [38C674.2].
Dilution : 1 μg/ml
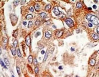
IHC-P analysis of human placenta tissue using GTX11997 p73 delta N antibody [38C674.2].
Dilution : 5 μg/ml
Antigen retrieval : Heat-induced antigen retrieval
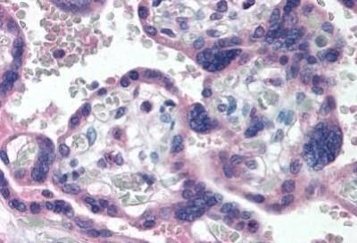
IHC-Fr analysis of E15 (A) and E17 (B) rat embryonic kidney tissue using GTX11997 p73 delta N antibody [38C674.2]. Delta Np73 is expressed in ureteric bud (UB) branches, and metanephrogenic mesenchyme (MM), as well as in cells invading the glomerular cleft. DeltaNp73 is expressed in the ureteric bud (UB) branches, metanephrogenic mesenchyme (MM), and nephron progenitors.
Dilution : 1:2000
风险提示:丁香通仅作为第三方平台,为商家信息发布提供平台空间。用户咨询产品时请注意保护个人信息及财产安全,合理判断,谨慎选购商品,商家和用户对交易行为负责。对于医疗器械类产品,请先查证核实企业经营资质和医疗器械产品注册证情况。
文献和实验Monoclonal Antibody Production Protocol
the rinse twice. Add 100 ul of blocking solution to every well, leave 1 hr at room Temp or O.N at 4°C. PRIMARY ANTIBODY Add the antibody to be tested: Sup of cells = 25 ul, mix well by pipetting up and down (10 times).serum, ascites = 1:100 and a series
secondary antibody review -- data from 99 publications
cytometry used as a control to detect cell responses targeted antigen 7 Alexa Fluor 488 7 Cy3 8 goat IgG Alexa Fluor 488 1:2000 detect antibody binding in human embryonic kidney 293T cells Invitrogen 9 donkey
祝贺〖雅裕睿安〗成为Signalway Antibody(SAB)独家
2+/Calmodulin-Dependent Protein Kinase II {delta} and Protein Kinase D Overexpression Reinforce. Circulation Research''102(6):695-702. 4.Pang J''Yan u C''Natarajan K''et al.(2008) GIT1 mediates HDAC5 activation by angiotensin II in vascular
技术资料暂无技术资料 索取技术资料








![ETS1 antibody [10D2]](https://img1.dxycdn.com/2022/0328/691/0573193688937500453-14.jpg!wh200)
![GATA1 antibody [4G1]](https://img1.dxycdn.com/2022/0328/106/7073609837737500453-14.jpg!wh200)
