相关产品推荐更多 >
万千商家帮你免费找货
0 人在求购买到急需产品
- 详细信息
- 文献和实验
- 技术资料
- 免疫原:
Recombinant protein encompassing a sequence within the center region of human V-ATPase D. The exact sequence is proprietary.
- 亚型:
IgG
- 形态:
Liquid
- 保存条件:
Store as concentrated solution. Centrifuge briefly prior to opening vial. For short-term storage (1-2 weeks), store at 4ºC. For long-term storage, aliquot and store at -20ºC or below. Avoid multiple freeze-thaw cycles.
- 克隆性:
Polyclonal
- 标记物:
Unconjugated
- 适应物种:
Human, Mouse
- 保质期:
12 months from the shipping date of the product.
- 抗原来源:
Human
- 目录编号:
GTX119155
- 级别:
Primary Antibodies
- 库存:
Available
- 供应商:
GeneTex
- 宿主:
Rabbit
- 应用范围:
WB, IHC-P
- 浓度:
1 mg/ml (Please refer to the vial label for the specific concentration.)
- 靶点:
V-ATPase D
- 抗体英文名:
V-ATPase D antibody
- 抗体名:
V-ATPase D 抗体
- 规格:
100 μl/25 μl
| 规格: | 100 μl | 产品价格: | ¥4000.0 |
|---|---|---|---|
| 规格: | 25 μl | 产品价格: | ¥1700.0 |
V-ATPase D antibody detects ATP6V1D protein by Western blot analysis.
A. 30 μg U87-MG whole cell lysate/extract
12 % SDS-PAGE
V-ATPase D antibody (GTX119155) dilution: 1:1000
Sample (50 ug of whole cell lysate)
A: mouse brain
12% SDS PAGE
GTX119155 diluted at 1:1000
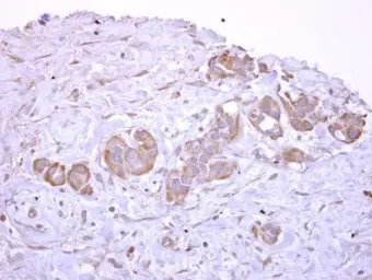
V-ATPase D antibody detects ATP6V1D protein at cytoplasm on human breast cancer by immunohistochemical analysis. Sample: Paraffin-embedded breast cancer. V-ATPase D antibody (GTX119155) dilution: 1:500.
Antigen Retrieval: Trilogy™ (EDTA based, pH 8.0) buffer, 15min
风险提示:丁香通仅作为第三方平台,为商家信息发布提供平台空间。用户咨询产品时请注意保护个人信息及财产安全,合理判断,谨慎选购商品,商家和用户对交易行为负责。对于医疗器械类产品,请先查证核实企业经营资质和医疗器械产品注册证情况。
文献和实验Domingo-Gonzalez R et al., JCI Insight 2017 (PMID:28978810)
IMGT/V-QUEST is the highly customized and integrated online IMGT� tool for the standardized analysis of the immunoglobulin (IG) or antibody and T cell receptor (TR) rearranged nucleotide sequences. The analysis of these antigen receptors
7.5, 150 mM NaCl, and1% (v/v) Triton X-100. 7. Suitable SDS-PAGE and transfer setup as in Section 2.4.1 . 8. Protein Sample Loading Dye (4×) as in Section 2.4.1 . 9. Nitrocellulose or PVDF membrane. 10. Mouse anti-β-catenin antibody (available
To engineer or manipulate antibody or Fv-based molecules, isolation of the V region of the antibodies is necessary. A number of strategies can be adopted for amplification; one such approach is to use subgroup-specific oligonucleotides
技术资料暂无技术资料 索取技术资料









![Cystatin S antibody [4L25]](https://img1.dxycdn.com/2022/0328/522/5288839371879400453-14.jpg!wh200)

