相关产品推荐更多 >
万千商家帮你免费找货
0 人在求购买到急需产品
- 详细信息
- 文献和实验
- 技术资料
- 免疫原:
A synthetic peptide corresponding to a sequence at the N-terminus of human Alpha Amylase 1(30-44aa HLFEWRWVDIALECE), different from the related rat and mouse sequences by one amino acid.
- 亚型:
IgG
- 形态:
Liquid
- 保存条件:
Store as concentrated solution. Centrifuge briefly prior to opening vial. For short-term storage (1-2 weeks), store at 4ºC. For long-term storage, aliquot and store at -20ºC or below. Avoid multiple freeze-thaw cycles.
- 克隆性:
Polyclonal
- 标记物:
Unconjugated
- 适应物种:
Human, Mouse, Rat
- 保质期:
12 months from the shipping date of the product.
- 抗原来源:
Human
- 目录编号:
GTX11728
- 级别:
Primary Antibodies
- 库存:
Available
- 供应商:
GeneTex
- 宿主:
Rabbit
- 应用范围:
WB, IHC-P
- 浓度:
500 μg/ml (Please refer to the vial label for the specific concentration.)
- 靶点:
Amylase
- 抗体英文名:
Amylase antibody
- 抗体名:
Amylase 抗体
- 规格:
100 μg
WB analysis of various samples using GTX11728 Amylase antibody.
Lane 1 : human PANC-1 whole cell lysates
Lane 2 : rat pancreas tissue lysates
Lane 3 : mouse pancreas tissue lysates
Dilution : 0.5 μg/mL
Loading : 50μg of sample under reducing conditions
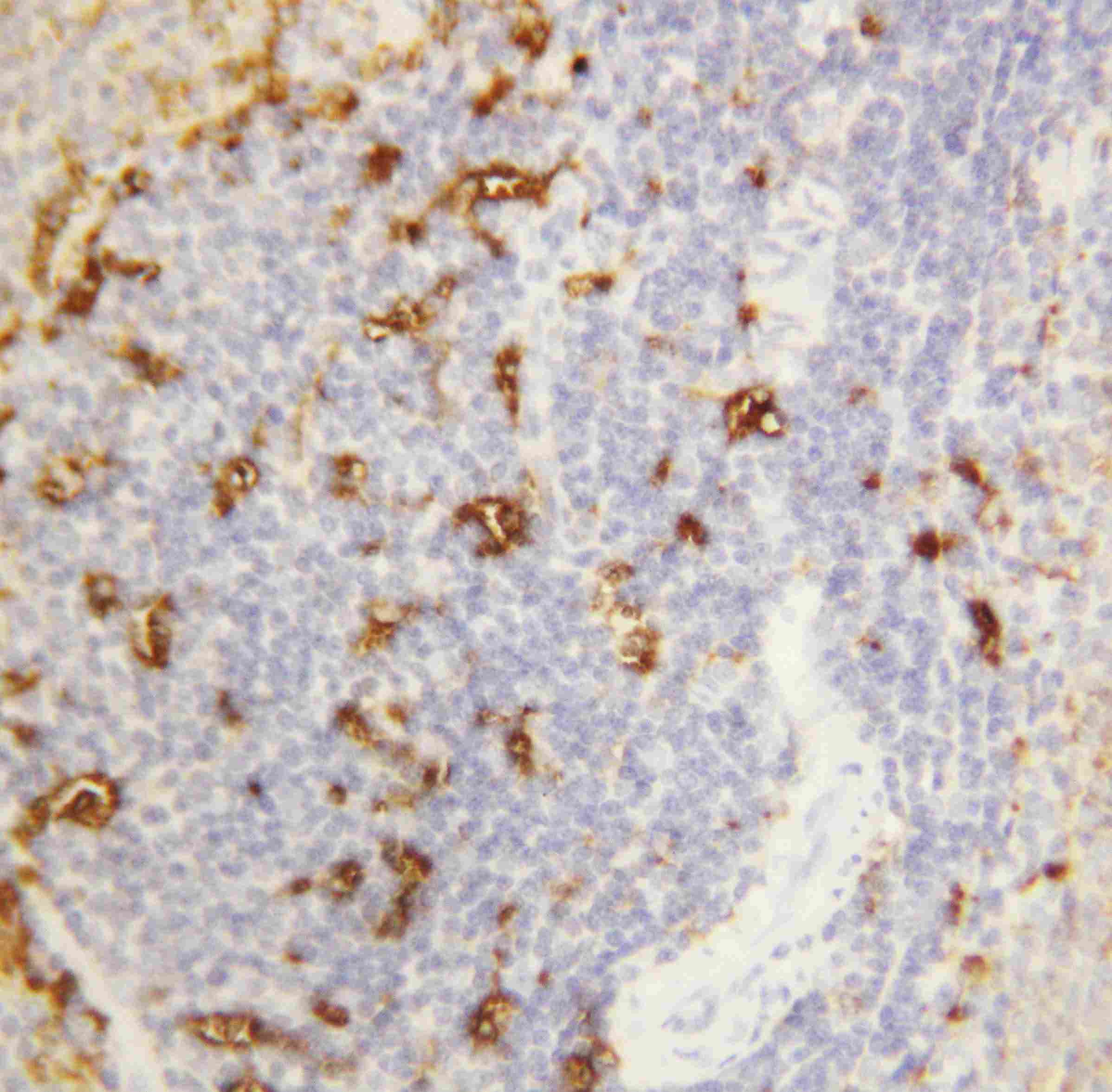
IHC-P analysis of rat spleen tissue using GTX11728 Amylase antibody.
Antigen retireval : Heat mediated antigen retrieval was performed in citrate buffer (pH6, epitope retrieval solution) for 20 mins
Dilution : 1μg/ml
风险提示:丁香通仅作为第三方平台,为商家信息发布提供平台空间。用户咨询产品时请注意保护个人信息及财产安全,合理判断,谨慎选购商品,商家和用户对交易行为负责。对于医疗器械类产品,请先查证核实企业经营资质和医疗器械产品注册证情况。
文献和实验α-Amylase inhibitors are heat-labile proteins that are active against salivary, pancreatic, bacterial, or insect α-amylases. Two thirds of the albumin fractions of wheat are composed of multiple protein components capable of inhibiting α
一般作用于可溶性淀粉、直链淀粉、糖元等α- 1, 4-葡聚糖,水解α- 1, 4-糖苷键的酶。根据作用的方式可分为α -淀粉酶( EC3. 2. 1. 1.)与β -淀粉酶( EC3. 2. 1. 2.)。( 1)α -淀粉酶广泛分布于动物(唾液、胰脏等)、植物(麦芽、山萮菜)及微生物。微生物的酶几乎都是分泌性的。此酶以 Ca2 为必需因子并作为稳定因子,既作用于直链淀粉,亦作用于支链淀粉,无差别地切断α- 1, 4-链。因此,其特征是引起底物溶液粘度的急剧下降和碘反应的消失
上海西唐生物科技有限公司 021-55229872, 65333639 www.westang.com 大鼠淀粉酶 (Amylase)ELISA 试剂盒 ( 用于血清、血浆、细胞培养上清液和尿液生物体液内 ) 原理 本实验采用双抗体夹心 ABC-ELISA 法。用抗大鼠 Amylase 单抗包被于酶标板上,标准品和样品中的 Amylase 与单抗结合,加入生物素化的抗大鼠 Amylase
技术资料暂无技术资料 索取技术资料







![CCK4 antibody [4F9]](https://img1.dxycdn.com/2022/0328/376/4356667053327500453-14.jpg!wh200)
![SKP2 antibody [6G9D10]](https://img1.dxycdn.com/2022/0328/082/4863175021947500453-14.jpg!wh200)

